Literature
- Immunity literature
- Skin-care literature
- Anti-alcohol literature
- Detoxification literature
- GI health literature
- Cholesterol health literature
- back
Contact us
Zhejiang Gold Kropn Bio-technology Co.,Ltd.
Tal:0570-8788056
Fax:0570-8788381
E-mail:zjgykp@163.com
Address:No.2,Donggang 4 Road,Donggang Economic Development Zone,Quzhou City,Zhejiang Province
- Inhibition of Human Cancer Cell Growth and Metastasis in Nude Mice by Oral Intake of Modified Citrus Pectin
- date: 2018-12-26 visits:5194
-
Inhibition of Human Cancer Cell Growth and Metastasisin Nude Mice by Oral Intake of Modified Citrus Pectin
Pratima Nangia-Makker, Victor Hogan, Yuichiro Honjo, Sara Baccarini,Larry Tait, Robert Bresalier, Avraham Raz
Journal of the National Cancer Institute, Vol. 94, No. 24, December 18, 2002Background: The role of dietary components in cancerprogression and metastasis is an emerging field of clinicalimportance. Many stages of cancer progression involve carbohydrate-mediated recognition processes. We thereforestudied the effects of high pH- and temperature-modifiedcitrus pectin (MCP), a nondigestible, water-soluble polysaccharide fiber derived from citrus fruit that specifically inhibits the carbohydrate-binding protein galectin-3, on tumorgrowth and metastasis in vivo and on galectin-3-mediatedfunctions in vitro. Methods: In vivo tumor growth, angiogenesis, and metastasis were studied in athymic mice thathad been fed with MCP in their drinking water and theninjected orthotopically with human breast carcinoma cells(MDA-MB-435) into the mammary fat pad region or withhuman colon carcinoma cells (LSLiM6) into the cecum.Galectin-3-mediated functions during tumor angiogenesisin vitro were studied by assessing the effect of MCP on capillary tube formation by human umbilical vein endothelialcells (HUVECs) in Matrigel. The effects of MCP on galectin-3-induced HUVEC chemotaxis and on HUVEC binding toMDA-MB-435 cells in vitro were studied using Boydenchamber and labeling assays, respectively. The data wereanalyzed by two-sided Student’s t test or Fisher’s protectedleast-significant-difference test. Results: Tumor growth,angiogenesis, and spontaneous metastasis in vivo were statistically significantly reduced in mice fed MCP. In vitro,MCP inhibited HUVEC morphogenesis (capillary tube formation) in a dose-dependent manner. In vitro, MCP inhibited the binding of galectin-3 to HUVECs: At concentrationsof 0.1% and 0.25%, MCP inhibited the binding of galectin-3(10 µg/mL) to HUVECs by 72.1% (P = .038) and 95.8% (P =.025), respectively, and at a concentration of 0.25% it inhibited the binding of galectin-3 (1 µg/mL) to HUVECs by100% (P = .032). MCP blocked chemotaxis of HUVECs toward galectin-3 in a dose-dependent manner, reducing it by68% at 0.005% (P<.001) and inhibiting it completely at0.1% (P<.001). Finally, MCP also inhibited adhesion ofMDA-MB-435 cells, which express galectin-3, to HUVECs ina dose-dependent manner. Conclusions: MCP, given orally,inhibits carbohydrate-mediated tumor growth, angiogenesis,and metastasis in vivo, presumably via its effects on galectin-3 function.
These data stress the importance of dietarycarbohydrate compounds as agents for the prevention and/or treatment of cancer. [J Natl Cancer Inst 2002;94:1854–62]
Carbohydrates have an enormous potential for encoding biologic information. All cells express carbohydrates on their surfaces in the form of glycoproteins, glycolipids, and polysaccharides. Lectins, the carbohydrate-binding proteins, not onlydistinguish different monosaccharides but also bind specificallyto oligosaccharides, detecting subtle differences in complex carbohydrate structures (1). The continuous growth and subsequentmetastasis of cancers are dependent on tumor vasculature, andcarbohydrate-mediated recognition interactions play a role inangiogenesis (2). Soluble forms of lectins (e.g., E-selectin, vascular cell adhesion molecule-1 [VCAM-1], and P-selectin) canpromote endothelial cell migration and morphogenesis afterbinding to their respective glycoconjugate ligands (3).
The clinical manifestation of an elevated concentration ofE-selectin in the sera of cancer patients provides in vivo evidenceof the importance of these molecules in cancer progression (4–7). However, this premise was challenged by a report (8) showing that E- and P-selectin-deficient mice were able to inducenormal angiogenesis. Therefore, we previously investigatedwhether another soluble carbohydrate-binding lectin, i.e., galectin-3, could provide an alternative angiogenic pathway andshowed that carbohydrate-dependent galectin-3 binding to endothelial cells induces endothelial cell morphogenesis in vitroand angiogenesis in vivo (9). Galectin-3 belongs to the galectinsuperfamily of proteins, defined by a shared conserved sequenceof the carbohydrate-binding domain and affinity to -galactosides (10).
A notable feature of galectin-3 is its implication in neoplastictransformation and cancer progression. A direct relationship hasbeen shown between galectin-3 levels and the stage of progression of some tumors [for review, see (11,12)]. Moreover, experimentally, a monoclonal antibody against galectin-3 stronglyinhibits experimental lung metastasis of B16 melanoma andUV-2237 fibrosarcoma cells (13). Synthetic glycoamines Fru-DLeu and Lac-L-Leu were used as effective inhibitors of spontaneous human breast cancer metastasis in nude mice (14), andD-galactose and arabinogalactan substantially inhibited the formation of experimental liver metastasis of L-1 sarcoma cells(15). More recently, it was reported that anti-galectin-3 antibodyand lactose inhibit liver metastasis by adenocarcinoma cell linesXK4A3 and RPMI4788 (16). These studies suggest the potentialfor carbohydrate-mediated cancer therapy.
Pectin is a highly complex branched polysaccharide fiber richin galactoside residues and present in all plant cell walls. Initially it was reported to bind to the carcinogen 1,2-dimethylhydrazine (DMH) with an increasing efficiency as pH was raisedAffiliations of authors: P. Nangia-Makker, V. Hogan, S. Baccarini, L. Tait,A. Raz, Wayne State University, School of Medicine, and Department ofPathology, Karmanos Cancer Institute, Detroit, MI; Y. Honjo, Wayne StateUniversity, School of Medicine, Department of Pathology, Karmanos CancerInstitute, Detroit, and Department of Otolaryngology, Nishi Nihon Hospital,and Nippon Telegraph & Telephone Corporation, Osaka, Japan; R. Bresalier,Department of Gastrointestinal Medicine and Nutrition, The University of TexasM. D. Anderson Cancer Center, Houston.
Correspondence to: Avraham Raz, Ph.D., 110 E. Warren Ave., Detroit, MI48201 (e-mail: raza@kci.wayne.edu).
See “Notes” following “References.”
© Oxford University Pressfrom acidic to alkaline (17). In its native form, citrus pectin (CP)has a limited solubility in water and is unable to interact withgalectin-3, but in its modified form (MCP) after hydrolysis toform a smaller linear water-soluble fiber, it acts as a ligand forgalectin-3 (18–20). Injection of MCP-treated mice with melanoma B16-F1 cells resulted in a statistically significant reduction in lung colonization (19). Furthermore,oral administrationof MCP to male Copenhagen rats injected with the prostatecancer cell line MAT-LyLu reduced spontaneous lung colonization in a dose-dependent fashion (18), suggesting that MCPinterferes with galectin-3-dependent tumor embolization in thecirculation, leading to reduced metastasis (18,19). A reduction inthe growth of colon tumors implantedinmice after oral administration of MCP has been demonstrated (21). Hsieh and Wu
(22) have recently reported that MCP treatment of human prostatic JCA-1 cells reduced cell growth and DNA synthesis, whichwas associated with reduced expression of cyclin B, nm23, p34,and cdc2.The role of dietary nondigestible, water-insoluble carbohydrate fibers in the etiology of various human cancers is of considerable interest, because their useaschemopreventive agentshas important implications for cancer prevention. Data from ourlaboratories (18–20) and others (22–26) have shown that carbohydrate-supplemented diets can inhibit tumor growth and metastasis in experimental murine tumor systems.Here, we studiedthe effect of MCP on galectin-3-mediated functions in vitro andon angiogenesis, tumor growth, and metastasis in vivo in athymic mice.
MATERIALS AND METHODS
Cell Lines and Culture
Human umbilical vein endothelial cells (HUVECs) were purchased from the American Type Culture Collection (ATCC,Manassas, VA). The metastatic human breast cancer cell lineMDA-MB-435 was a gift from Dr. Eric W. Thompson (St. Vincent’s Institute of Medical Research and University of Melbourne, Melbourne, Australia). LSLiM6 is a wellcharacterizedmetastatic colonic adenocarcinoma cell line derived from lowmetastatic LS174T (27,28). HUVECs were cultured in Ham’sF12K medium (Irvine Scientific, Irvine, CA) supplemented with100 g/mL heparin (Sigma Chemical Co., St. Louis, MO),50 g/mL endothelial cell growth supplement (CollaborativeBiomedical Products, Bedford, MA), and 10% fetal bovineserum (FBS; Summit Biotechnology, Fort Collins, CO). MDAMB-435 and LSLiM6 cells were maintained in Dulbecco’sMinimal Essential Medium (Invitrogen Corporation, Carlsbad,CA) containing 10% heat-inactivated fetal calf serum (FCS),essential and nonessential amino acids (Invitrogen Corporation),vitamins, and antibiotics (Mediatech, Inc., Herndon, VA).The cells were maintained in a humidified chamber with 95% airand 5% CO2 at 37 °C. The cells were grown to confluence anddetached from the monolayer with 0.25% trypsin with 2 mMEDTA. The use of the cell lines was approved by theHumanInvestigations Committee, Wayne State University (Detroit,MI).For collection of conditioned media, the cells wereplated toconfluence in a 60-mm dish. After 24 hours the medium wasremoved, and the cells were washed thoroughly with phosphatebuffered saline (PBS) and allowed to grow in serumfree medium. The medium was collected after 24 hours, concentrated20-fold by centrifugation through Ultrafree-MC centrifugal filterunits (Millipore, Bedford, MA) with a 10 K molecular weightcut-off, and analyzed for the presence of galectin-3 by Westernblot analysis.
Preparation of Recombinant Galectin-3 and Modified CP
Recombinant human galectin-3 was expressed in Escherichiacoli and isolated by affinity chromatography using an asialofetuin column as previously described (29). CP waspurchasedfrom Sigma Chemical Co.; pH and temperature modification ofpectin was performed as described (19). Briefly, CP was solubilized as a 1.5% solution in distilled water, andits pH wasincreased to 10.0 with NaOH (3 N) for 1 hour at 50–60 °C. Thesolution was then cooled to room temperature while its pH wasadjusted to 3.0 with 3 N HCl and stored overnight. Samples wereprecipitated the next day with 95% ethanol and incubated at–20 °C for 2 hours, filtered, washed with acetone, and driedon Whatman filters. For oral feeding of the nude mice, a 1%solution of MCP was prepared in autoclaved water, its pH wasadjusted to approximately 7.0, and the solution (500 mL)was sterilized by -irradiation using a Mark 1–68 irradiator(J. L. Shepherd & Associates, Glendale, CA) at 552 Rads/minutefor 45 minutes.
Composition Analysis of CP and MCP
Composition analysis was performed at the Complex Carbohydrate Research Center, University of Georgia (Athens). Thesamples were hydrolyzed using freshly prepared 1 M HCl in3% methanol for 16 hours at 80 °C. The released sugars weredried down and N-acetylated using methanol and acetic anhydride for 15 minutes at 45 °C. The acetylated sample wastrimethyl sialylated with Tri-Sil reagent (Pierce, Rockford, IL)and resolved on a 30-m DB-1 column (J&W Scientific, Folsom,CA) on a 5985 GC-MS system (Hewlett-Packard, Palo Alto,CA) using myoinositol as an internal standard.
Tumor Growth and Metastasis
NCR nu/nu mice were injected in the mammary fat padregion with 7.5 × 105 MDA-MB-435 cells. The site, time ofinoculation, and autopsy were as described by Price et al. (30).Two groups of 10 mice each were given 1% (w/v) MCP (pH≈7.0) in drinking water starting 1 week prior to the injections oftumor cells. Two control groups of 10 mice each were maintained on regular autoclaved water. For one group eachof MCPfed and control mice, the tumors were measured twice a weekfor 7 weeks, and the volumes were calculated by formula (length× width1 × width2 × 0.5). After 51 days, the mice were anesthetized (with ketamine [70 mg/kg body weight] andxylazine[7.5 mg/kg body weight]), and the primary tumors were surgically removed because some of them were larger than1.5 cm.
The mice continued to receive water or MCP solution for 8 moreweeks, after which they were killed by cervical dislocation. Thelungs were removed, fixed with Bouin’s fixative, and examinedvisually as well as microscopically for the formation of tumorcell colonies.
The other groups of control and MCP-fed mice were killed atday 33. The tumors were removed, weighed, fixed with 10%formalin in PBS, and processed for immunohistochemical staining of blood vessels. The tumors were removed at 33 days,because some tumors became necrotic at later stages.The ability of MCP to inhibit spontaneous metastasis of human colon cancer cells from the cecum to the liver was tested aspreviously described (28). We selected the colon adenocarcinoma cell line LSLiM6, because these cells exhibit a high livermetastasis during cecal growth and high liver-colonizing abilityafter splenic portal injection in nude mice (27). These cells alsoproduce high levels of intracellular and cell surface galectin-3(28). A group of 10 pathogen-free nude mice was fed 1% MCPin their drinking water for 1 week, after which they were anesthetized with methoxyflurane by inhalation, the cecum wasexteriorized, and 5 × 106 viable LSLiM6 cells in 0.1 mL wereinjected into the cecal wall. The cecum was replaced in situ, andthe abdomen was closed with stainless steel clips. After 6 weeks,the animals were killed, and the cecum, abdominal tumor mass,and liver were removed. The number of animals with macroscopic liver nodules was determined and compared with that ofcontrol animals given plain water. All procedures were carriedout in accordance with the guidelines provided by the AnimalInvestigation Committee at Wayne State University. All micewere checked daily, and no variations in body weight or behavior among the control and treated mice groups were observed.
Immunohistochemical Analysis to Visualize Blood
Capillary Vessels in Primary Tumors
To visualize the blood vessels in the primary tumors removedfrom control and MCP-fed mice, the sections were stained withalpha smooth muscle actin, which stains the smooth musclecells of the vessels. Immunohistochemistry was performedusing a modification of the avidin–biotin–peroxidase complextechnique. Briefly, 4-m tissue sections were deparaffinized,rehydrated, and placed in a 3% hydrogen peroxide solution toinhibit endogenous peroxidase. The tissue sections were treatedwith 0.1% trypsin and 0.1% CaCl2 for 30 minutes at 37 °C toexpose the antigenic sites masked by formalin fixation, blockedfor 1 hour with 3% normal goat serum (Sigma Chemical Co.),and subsequently incubated overnight with monoclonal mouseanti-human alpha smooth muscle actin (DAKO, Carpinteria,CA) at a dilution of 1 : 100. The sections were then treatedwith biotinylated secondary antibody (Vectastain Elite ABC kit;Vector Laboratories, Burlingame, CA) for 30 minutes at roomtemperature, followed by avidin-biotinylated horseradish peroxidase (HRP) complex reagent (according to the manufacturer’sinstructions) for 30 minutes and diaminobenzidine (SigmaChemical Co.) for 1 minute. Counterstaining was performedwith hematoxylin.
Capillary Tube Formation by HUVECs
Capillary tube formation by HUVECs was assayed onMatrigel (Collaborative Biomedical Products, Bedford, MA) asdescribed earlier (9). To prepare a gel, 200 L of Matrigelthawed on ice was added to each chamber of an eight-chamberslide. The air bubbles were carefully removed, and the slide wastransferred to a 37 °C incubator for 15 minutes. After gelation,5 × 104 endothelial cells, separated from monolayers with trypsin treatment, were plated onto the gel in 200 L of medium. Insome chambers, MCP or CP was added to the cells at the timeof incubation. The tube formation was observed after 16 hours.
Chemotaxis of HUVECs in Response to Galectin-3
Galectin-3-induced chemotactic response of endothelial cellswas analyzed using a Boyden chamber. Briefly, 30 L of serumfree F12K medium containing 10 g/mL galectin-3 in the presence or absence of various concentrations of MCP was added tothe lower chamber as a chemoattractant. HUVECs (5 × 104)were added to the upper chamber. The two chambers were separated by polycarbonate filters (8-m pore size) and incubated at37 °C. After 5 hours, the cells attached to the lower surface of thefilter were fixed and stained using the Protocol Hema 3 Stain set(Fisher Scientific Company, Pittsburgh, PA). Cells in a total of10 fields from each chamber were counted under a microscope,and the average number of cells per field was plotted. Each assaywas carried out in quadruplicate. To investigate the specificity ofchemotaxis inhibition by MCP, a comparative evaluation wasperformed using fibronectin and basic fibroblast growth factor(bFGF)-induced chemotaxis.
Biotinylation of Recombinant Galectin-3
Recombinant galectin-3 was isolated from transformed bacteria and purified as described previously (29). The protein wasbiotinylated using an EZ-Link Sulfo-NHS-Biotinylation Kit(Pierce) according to the manufacturer’s instructions. Briefly,the protein solution was concentrated to 2 mg/mL in PBS andmixed into 30 L of sulfo-NHS-biotin (2 mg/100 L H2O) toget a molar ratio of 1 : 20. Biotinylation was achieved by incubating the mixture on ice for 2 hours. Excess salt was removedby passing the protein solution through the desalting column.The fractions were collected, and the protein content of eachfraction was determined.
Galectin-3-HUVEC Binding Assay
HUVECs were seeded at a density of 1 × 104 cells/well in a96-well plate. After 24 hours, the cells were washed four timeswith PBS and incubated with various concentrations of MCPin 100 L of serum-free F12K medium for 15 minutes at 37 °C.After incubation, various concentrations of biotinylated recombinant galectin-3 were added to the wells and incubatedfor 2 hours at 37 °C. The wells were washed carefully threetimes with PBS. Next, 100 L of a 1 : 1000 dilution of HRPconjugated streptavidin was added to the wells and incubated atroom temperature for 30 minutes. Unbound proteins were removed by washing three times with PBS. Color developmentwas obtained by using 100 L of citrate buffer mixed withABTS (2,2 azino-di[3-ethylbenzthiazoline]sulfonic acid) andH2O2 and measured by an enzyme-linked immunosorbent assay(ELISA) plate reader (Molecular Devices, Sunnyvale, CA) at awavelength of 405 nm.
Indirect Immunofluorescence Assay to Detect Galectin-3on Tumor Cells
MDA-MB-435 cells were trypsinized and seeded in a fourchamber slide at a density of 50 000 cells/chamber. After 24hours, the cells were fixed with 3.4% paraformaldehyde for 15minutes at room temperature and washed four times with PBScontaining 1% bovine serum albumin (BSA). The cells werethen blocked for 30 minutes with 1% BSA in PBS followed byincubation with primary antibody (TIB-166 anti-galectin-3monoclonal antibody made in rat; ATCC) at a 1 : 1 dilution with1% BSA in PBS at 4 °C for 1 hour. Subsequently, the cells werewashed three times with 0.1% BSA in PBS and incubatedwith fluorescein isothiocyanate (FITC)-labeled goat anti-ratimmunoglobulin G (IgG; Zymed, San Francisco, CA) at a 1 : 50dilution for 30 minutes. The primary antibody was omittedin controls. The chambers were peeled off the slide, and the cellswere mounted in gelvatol (13% w/v polyvinyl alcohol-2000,0.6× PBS, and 30% glycerol) and observed under a fluorescencemicroscope (Olympus, Tokyo, Japan) for the presence ofgalectin-3.
Western Blot Analysis for Galectin-3
To study the expression of galectin-3, HUVECs or MDAMB-435 cells were trypsinized and mixed with trypan blue. Theviable cells were counted by a hemacytometer, and cellswere suspended in a sample buffer (0.76% Tris, 10% glycerol,1% sodium dodecyl sulfate [SDS], 1% 2-mercaptoethanol,1% bromophenol blue) at 5000 cells/L. To study the secretionof galectin-3, the conditioned media were collected and concentrated as described in the “Cell Lines and Culture” section. Equalamounts of protein (50 g) or lysed cells (1 × 105) were loadedin each lane. The proteins were separated on a 12.5% polyacrylamide separating gel and a 3.5% stacking gel and electroblottedto polyvinylpyrrolidine fluoride (PVDF) membranes (MSI,Westborough, MA). Nonspecific binding was blocked in 5%nonfat dry milk in PBS for 1 hour, followed by incubation withthe first antibody (rat monoclonal anti-galectin-3 or rabbit polyclonal anti-galectin-3 antibody) for 1 hour at room temperature.Subsequently, the membranes were washed five times with ablocking solution containing 0.1% Tween 20 and incubated withsecondary antibody (HRP-conjugated rabbit anti-rat IgG or goatanti-rabbit IgG, respectively; Zymed) for 1 hour. After washingas before, they were processed for enhanced chemiluminescenceusing ECL western blotting detection reagents (Amersham, Piscataway, NJ) to locate the galectin-3 protein, according to themanufacturer’s instructions.
Tumor Cell–HUVEC Adhesion Assay
MDA-MB-435 cells were suspended at a concentration of3 × 106 cells/mL in serum-free medium containing 1% BSA andradiolabeled with 5 Ci of Na51CrO4 (Dupont NEN ResearchProducts, Boston, MA) for 2 hours at 37 °C. At the end of theincubation, the cell suspensions were washed extensively andplated in quadruplicate in 16-mm Costar culture dishes (CorningCostar, Cambridge, MA) containing HUVEC monolayers in thepresence or absence of different final concentrations (0.01%,0.05%, 0.1%, or 0.25%) of MCP. After 2 hours, the cells werewashed gently and thoroughly with PBS, and the attached cellswere lysed with 0.1 N NaOH (30 minutes, 37 °C). To determinethe percentage of adhesion of MDA-MB-435 cells to HUVECs,the cell-associated radioactivity was determined in a PackardAuto Gamma Counter (model 5650; Packard Biosciences Co./Perkin Elmer, Downer’s Grove, IL). The adhesion of tumor cellsto HUVECs in control experiments without MCP was given thevalue of 100%; percent adhesion in the presence of MCP wascalculated accordingly.
Statistical Analysis
Tumor growth, chemotaxis, angiogenesis in vivo, and bindingwere the primary outcomes measured. The data were provided asmeans of either two or three experiments with 95% confidenceintervals (CIs). (The experiments conducted to measure growthof the tumors were repeated twice with multiple animals.) Weused Student’s t test or Fisher’s protected least-significantdifference (PLSD) test from StatView software (Abacus Concepts, Inc., Berkeley, CA) to analyze the statistical significanceof the results. All statistical tests were two-sided, and P valuesless than .05 were considered statistically significant.
RESULTS
To test the ability of MCP to inhibit primary tumor growthand metastasis, 7.5 × 105 MDA-MB-435 human breast carcinoma cells were injected into the mammary fat pad of NCRnu/nu mice previously fed for a week with 1% MCP in theirdrinking water. The pH of the solution was adjusted to 7.0to neutralize the acidic taste of MCP. The mice were fed continuously with MCP throughout the duration of the experiments.
The addition of MCP to the drinking water did not affect theoverall tumorigenic efficiency. However, a statistically significant reduction in tumor growth rate was observed in mice fedwith MCP compared with that in mice from the control group(P=.050, Student’s t test; Fig. 1). The tumors in control micereached 1.5 cm at 7 weeks after tumor inoculation, forcing us toterminate the analysis in all mice. The average tumor volume forcontrol mice was 552 ± 14 mm3 (95% CI 540 to 564 mm3)versus 165 ± 48 mm3 (95% CI 128 to 201 mm3) for MCP-fedmice. The difference in tumor volumes between the controlgroup and the treated group was 387 mm3 (95% CI 363 to412 mm3). At the termination of the experiments, after 15weeks, the experimental mice were killed, autopsied, and examined for tumor metastases. Three mice (one control mouse andtwo MCP-fed mice) died during or immediately after surgery;therefore, the metastasis was not analyzed in all 10 mice in eachgroup. The number of mice with lung metastases was statistically significantly smaller in the MCP-fed group than in thecontrol group (zero of eight mice versus six of nine mice, respectively). Representative lungs from each group are depictedin Fig. 2. Daily water intake was similar in all groups. The micedid not show any dislike for MCP. Animal body weight andoverall behavior were similar in the control group and the treatedgroup.To analyze whether MCP would inhibit the growth of othertumor types, we also studied the colonic growth of human coloncarcinoma cells and spontaneous metastasis in MCP-fed nudemice. Previously, we had shown that galectin-3 plays a role inFig. 1. Tumor growth in modified citrus pectin (MCP)-fed mice. MDA-MB-435cells were injected into the mammary fat pad region of nude mice, and tumorvolumes were measured twice a week. At the end of 51 days, the tumor volumeswere calculated from 10 mice. Larger tumors were observed in the control mice(open circles) than in the MCP-fed mice (closed circles). The error barsrepresent 95% confidence intervals. *, P .050.
Fig. 2. Lung metastasis of MDA-MB-435 cells inmodified citrus pectin (MCP)-fed mice. Mice wereinjected with 0.75 × 106 cells in the mammary fatpad region. Some mice were fed water alone (A) andothers received 1% MCP in their drinking water (B).Tumors were removed after 7 weeks, and after 8more weeks, the mice were killed and the presenceor absence of lung metastasis (nodules on lung surface) was recorded.
liver colonization of human colon carcinoma cells after splenicportal or cecal growth (27,28). We therefore examined whetherMCP would affect the dissemination of these cells from thececum to the liver. Five million LSLiM6 cells were surgicallyimplanted into the cecum of nude mice (10 each of control andMCP-fed mice), and 6 weeks later, after continuous MCP feeding, the mice were killed, tumors were excised and weighed, andthe incidence of metastasis was recorded. The average weightsof the primary tumors in the control and 1% (w/v) MCP-fedmice were 1.16 g (95% CI 1.13 to 1.19 g) and 0.65 g (95%CI 0.37 to 0.93 g), respectively. The intra-abdominal tumorweights in the control and the MCP-fed mice were 2.0 g (95% CI1.94 to 2.06 g) and 0.88 g (95% CI 0.37 to 0.93 g),respectively. The difference in primary tumor weight betweenthe control group and the treated group was 0.51 g (95% CI 0.40 to 0.82 g). The difference in intra-abdominal tumor weightsbetween the control group and the MCP-fed group was 1.12 g(95% CI 1.01 to 1.69 g). Metastases to lymph nodes and tothe liver were present in 100% (nine of nine) and 60% (six of 10)in control mice, respectively, versus in 25% (two of eight) and0% (zero of nine) in the MCP-fed mice. Similar results wereobserved in repeat experiments. Daily water intake was similarin all groups. Animal body weight and overall behavior wereunchanged between the control group and the treated group.
We have shown previously that galectin-3 mediates endothelial cell
morphogenesis in vitro and angiogenesis in vivo in acarbohydrate-dependent manner (9). Thus, we investigatedwhether the inhibitory effects of MCP on tumor growth wereassociated with reduced angiogenesis. Primary MDA-MB-435tumors growing in the mammary fat pad of water- or MCP-fednude mice (five mice per group) were excised, fixed, and stainedfor the presence of blood vessels. The tumors from MCP-fedmice had one-third the number of vessels per unit area as thetumors in the control mice (Fig. 3). Three tumors from eachgroup were sectioned, and one field per slide was counted fromthree slides per tumor for the blood vessels. The average numberof blood vessels (and 95% CIs) for control and MCP-fed mice,respectively, were 15.0 (95% CI 12.9 to 17.2) and 4.9 (95%CI 3.0 to 6.7). To directly test the effect of MCP on endothelial cell morphogenesis, an in vitro capillary tube formationassay was performed. A thin layer of Matrigel was formed ineach chamber of an eight-chamber slide by incubation at 37 °Cfor 15 minutes. Fifty thousand HUVECs were then plated ineach chamber, along with varying concentrations of MCP or CP.A dose-dependent inhibition of the ability of the cell to form acapillary network on Matrigel in the presence of MCP (Fig. 4,B–D) was observed as compared with control PBS (Fig. 4, A)and intact CP controls (Fig. 4, E and F).
Chemotaxis is an integral part of angiogenesis, invasion, andmetastasis (31). Like bFGF, galectin-3 induces a chemotacticresponse in HUVECs (9). To determine whether MCP wouldinhibit galectin-3-induced chemotaxis of endothelial cells, weperformed Boyden chamber chemotaxis assays. As a chemoattractant, galectin-3 (10 g/mL) in serum-free medium containing various concentrations of MCP was placed in the lowerchamber, and HUVECs (5 × 104 cells) were loaded into theupper chambers. After 5 hours of incubation at 37 °C, the cellsthat migrated toward the chemoattractant were fixed, stained,and counted under a phase-contrast microscope (Fig. 5, A). MCPstatistically significantly inhibited the chemotactic response ofgalectin-3 in a dose-dependent manner. At a concentration of0.005% (w/v), chemotaxis was reduced by 68%. At a concentration of 0.1% (w/v), there was a complete inhibition of chemotaxis, with the same number of migratory cells as in thenegative control. Next, we investigated whether the effect ofMCP is specific to the chemotactic response to galectin-3 byanalyzing fibronectin- and bFGF-induced chemotaxis in thepresence of MCP. MCP had a small inhibitory effect (at a concentration of 0.05%) on fibronectin-induced migration (26% inhibition) and strongly reduced bFGF-induced chemotaxis (by34% and 86% at concentrations of 0.01% and 0.05%, respectively) (Fig. 5, B).
Calculated P values using Fisher’s PLSD testfor galectin-3 were .016 with 0.001% MCP and less than .001with 0.005%, 0.01%, and 0.1% MCP; for fibronectin, the Pvalues were .122 and .007 at 0.01% MCP and 0.05% MCP,respectively; for bFGF, the P values were .015 and less than .001at 0.01% MCP and 0.05% MCP, respectively.
We have previously demonstrated that galectin-3 binds toendothelial cell surface high- and low-affinity receptors (9) andthat this binding specifically initiates endothelial cell capillarytube formation. To establish whether MCP inhibits this binding,1 × 104 HUVECs were plated in a 96-well plate and incubated
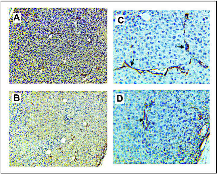
Fig. 3. In vivo angiogenesis in modified citruspectin (MCP)-fed mice. Nude mice were injected with breast cancer cells. Tumors wereremoved after 33 days, fixed, embedded in paraffin, sectioned, and stained for the presence ofblood vessels using antibody against smoothmuscle actin. Three tumors from each groupwere sectioned, and three slides per tumor werestudied. A) Control, ×100; B) MCP-fed, ×100;C) control, ×250; D) MCP-fed, ×250.

Fig. 4. Inhibition of in vitro capillary tube formation. Human umbilical vein endothelial cells wereplated on gelled Matrigel (200 L/chamber)at a density of 50 000 cells per chamber in theabsence (A) and presence of 0.01% (B), 0.05%(C), or 0.1% (D) modified citrus pectin (MCP)or 0.05% (E) or 0.1% (F) citrus pectin (CP). Theability to form tubes was inhibited in the presence of MCP compared with control (A) or CP(E and F). The experiment was repeated threetimes, and representative pictures are shown

for 15 minutes at 37 °C with various concentrations of MCP.Biotinylated galectin-3 (1 g/mL and 10 g/mL) was thenadded, and after 2 hours of incubation at 37 °C, the cells werethoroughly washed and binding efficiency was determined bycolor development with ABTS and H2O2. The results (Fig. 6)show that galectin-3 bound to HUVECs and that MCP specifically inhibited this binding. Similar experiments were performedwith CP, lactose, and sucrose; inhibition was seen with lactose

Fig. 5. Inhibition of chemotaxis. A) Galectin-3 was added in the lower chamberwith different concentrations of modified citrus pectin (MCP). In the upperchamber, 5 × 104 human umbilical vein endothelial cells were loaded. The twochambers were separated by a polycarbonate filter of 8-m pore size and incubated at 37 °C for 5 hours. The number of cells migrating to the lower side of thefilter was calculated. Each point represents an average of eight readings. B)Same experiment performed using fibronectin (FN) with or without MCP (openand MCP only and not with sucrose or CP (data not shown).The binding of 10 g/mL galectin-3 to HUVECs was inhibitedby 72.1% and 95.8%, respectively, with MCP concentrationsof 0.1% and 0.25%, and binding of 1 g/mL galectin-3 toHUVECs was inhibited by 100% in the presence of 0.25% MCP.(P values using Fisher’s PLSD test were .045 and .032 at MCPconcentrations of 0.1% and 0.25% for a 1 g/mL galectin-3concentration and .038 and .025 at MCP concentrations of 0.1%and 0.25% for a 10 g/mL galectin-3 concentration.) Westernblot and direct immunofluorescence analyses showed thatMDA-MB-435 cells express galectin-3 on the cell surface and inthe cytoplasm and secrete it (Fig. 7). There was a progressiveinhibition (33%, 58.4%, 66.5%, and 83.4%) of the binding ability (adhesion) of these tumor cells to the HUVECs by increasingdoses of MCP, i.e., 0.01%, 0.05%, 0.1%, and 0.25%, respectively (Fig. 8). P values, as calculated by Fisher’s PLSD test,were less than .001 at 0.05%, 0.1%, and 0.25% MCP and .003 at0.01% MCP. Thus, inhibition of tumor cell–endothelial cell interaction by MCP may affect adhesive interactions that play arole in invasion and metastasis.DISCUSSION
The use of dietary components having protective and/or preventive effects on cancer progression and metastasis is an important emerging field of research. Identifying new food supplements and understanding their mechanisms of action are some ofthe main challenges in using functional foods as a cancer therapeutics modality.
It has been previously shown that pectin hydrolysate, whetheradministered orally (18) or intravenously (19), reduces both thespontaneous and experimental lung colonization of tumor cells.CP in the form of water-insoluble fibers also may reduce theFig. 5. Inhibition of chemotaxis. A) Galectin-3 was added in the lower chamberwith different concentrations of modified citrus pectin (MCP). In the upperchamber, 5 × 104 human umbilical vein endothelial cells were loaded. The twochambers were separated by a polycarbonate filter of 8-m pore size and incubated at 37 °C for 5 hours. The number of cells migrating to the lower side of thefilter was calculated. Each point represents an average of eight readings. B)Same experiment performed using fibronectin (FN) with or without MCP (openbars) and basic fibroblast growth factor (bFGF) with or without MCP (graybars). Error bars represent 95% confidence intervals. *, P values using Fisher’sprotected least-significant-difference test in A: .016 with 0.001% MCP and lessthan .001 with both 0.005% and 0.01% MCP; in B: .007 and .122 at 0.05% and0.01% MCP, respectively, when used with fibronectin; and .015 and less than.001 at 0.01% and 0.05% MCP, respectively, when used with bFGF.

Fig. 6. Binding of recombinant galectin-3 to human umbilical vein endothelialcells (HUVECs) in the presence of modified citrus pectin (MCP). Recombinantgalectin-3 was biotinylated using the EZ-Link Sulfo-NHS-Biotinylationkit (Pierce). Endothelial cells were incubated with 1 g (closed squares)or 10 g/mL (open squares) galectin-3 in the presence of 0.01%, 0.1%, or0.25% MCP. Binding was determined by color development as described in the“Materials and Methods” section. Optical density of cells incubated with 10 gof galectin-3 was arbitrarily given a value of 100% binding. Other values werecalculated accordingly. Each point represents a mean of three readings. Error
bars represent 95% confidence intervals. *, P values using Fisher’s protectedleast-significant-difference test were .045 and .032 at MCP concentrations of0.1% and 0.25%, respectively, for 1 g of galectin-3 and .038 and .025 at MCPconcentrations of 0.1% and 0.25%, respectively, for 10 g/mL ggalectin-3

Fig. 7. Left panel: Western blot analysis of conditioned media (CM) and total cell lysates (CL)of MDA-MB-435 and human umbilical veinendothelial cells (HUVECs). For comparison,100 ng of recombinant galectin-3 (r-gal-3) wasloaded into one lane. Right panel: Indirect immunofluorescence of MDA-MB-435 cells forsurface expression of galectin-3. A) Negativecontrol, in which the primary antibody was omitted. B) Stained cells expressing galectin-3

Fig. 8. Adhesion of tumor cells to human umbilical vein endothelial cells
(HUVECs). MDA-MB-435 breast cancer cells were labeled with Na51CrO4 and
incubated with HUVECs in the presence of various concentrations of modified
citrus pectin (MCP). After 2 hours, the cells were washed, lysed, and counted byscintillation counter. Controls were given a value of 100%, and the other valueswere calculated accordingly. Each value represents a mean of three readings.Error bars represent 95% confidence intervals. *, P<.001.incidence of chemically induced colon cancer (17), presumablyby promoting Bifidobacteria (26). Rats fed on a 15% CPenriched diet showed a higher apoptotic index in their colon(23–25). Reduced cell growth and corresponding [3H]thymidineincorporation into DNA was reported when human prostaticJCA-1 cells were grown in media containing MCP (22). Pectinshave also been found to exhibit anti-mutagenic activity againstnitroaromatic compounds (32). Daily oral administration ofMCP reduced the growth of implanted colon-25 tumors inBALB/c mice, and dietary pectin reduced the growth of intramuscularly transplanted mouse tumors from tumor cell linesTLT and EMT6 (33). The results presented in the current studyare the first report showing an inhibition of tumor growth andmetastasis of orthotopically grown breast and colon cancer cellsby a soluble, orally ingested dietary carbohydrate fiber.

The data indicate that MCP might reduce mammary and colonic tumor growth and metastasis by inhibiting angiogenesis. Inmammary carcinoma cells growing in the mammary fat pad ofnude mice, we observed a 70.2% reduction in the mean tumorvolume by 7 weeks following the oral intake of MCP (Fig. 1).This was associated with a 66% reduction in blood vessels anda complete inhibition of metastasis to the lungs (Fig. 3). Similarly, there was less tumor burden and metastasis in the MCP-fednude mice into which human colon carcinoma cells (LSLiM6)were implanted than in the control mice. Metastases to lymphnodes and the liver were present in 100% and 66% of controlmice versus 25% and 0% of mice fed with MCP.
Pectin consists of “smooth” and “hairy” regions. The smoothregion is composed of partially esterified galacturonic acid residues, whereas hairy regions contain galacturonic acid residueswith irregularly inserted rhamnose residues with side chainscomposed of neutral sugars such as arabinose, galactose, glucose, mannose, and xylose. The modification of CP to MCP bypH involves degradation of the main galacturonic acid chain byelimination (high pH) followed by partial degradation of thenatural carbohydrates (low pH), resulting in simpler carbohydrate chains of basically the same sugar composition as theunmodified CP. Composition analysis of CP and MCP showedthat MCP is richer in galactose, rhamnose, and xylose (data notshown). MCP effectively binds to recombinant galectin-3 andinhibits galectin-3-mediated functions, such as homotypic tumorcell aggregation, binding of tumor endothelial cells, anchorageindependent growth, and binding to the laminin ligand by blocking its carbohydrate-binding domain (18–20). Our results showthat MCP also acts as an angiogenesis inhibitor. In an in vitroassay, HUVECs migrated and differentiated into capillary-likestructures, and MCP prevented this migration and capillary tubeformation, either by binding to the galectin-3 present in thematrix and/or on the endothelial cells or interfering with itsbinding to the receptor. In vivo this leads to a marked reductionin the density of tumor-associated blood vessels. Similarly, MCPspecifically inhibited the binding of the galectin-3-expressingbreast cancer cell line MDA-MB-435 to endothelial cells, explaining in part its inhibition of invasion and metastasis. Recentfindings demonstrate that hematogenous cancer metastasesoriginate from intravascular growth of cancer cells attached tothe endothelium rather than from extravasated ones (34). This suggests a key role of tumor–endothelial cell interactions in cancer metastasis. Here we have shown that MCP inhibited ga- lectin-3-induced and bFGF-induced chemotactic migration, and others have reported that CP inhibits the binding of bFGF to its receptor FGFR in the presence of heparin, also a complex car- bohydrate (35).
In summary, our results demonstrate that MCP inhibits
in vitro and in vivo carbohydrate-mediated angiogenesis by blocking the association of galectin-3 to its receptors. These data stress the importance of dietary carbohydrate compounds as cancer-preventive and/or -therapeutic agents. The complex na- ture of carbohydrate specificities will require the development of new antagonists for the recognition of angiogenic factors and glycoconjugate receptors.
REFERENCES
(1) Sharon N, Lis H. Carbohydrates in cell recognition. Sci Am 1993;268:
82–9.
(2) Nguyen M, Eilber FR, Defrees S. Novel synthetic analogs of sialyl Lewis
X can inhibit angiogenesis in vitro and in vivo. Biochem Biophys Res Commun 1996;228:716–23.
(3) Nangia-Makker P, Baccarini S, Raz A. Carbohydrate-recognition and an-
giogenesis. Cancer Metastasis Rev 2000;19:51–7.
(4) Banks RE, Gearing AJ, Hemingway IK, Norfolk DR, Perren TJ, Selby PJ.
Circulating intercellular adhesion molecule-1 (ICAM-1), E-selectin and vascular cell adhesion molecule-1 (VCAM-1) in human malignancies. Br J Cancer 1993;68:122–4.
(5) Wittig BM, Kaulen H, Thees R, Schmitt C, Knolle P, Stock J, et al.
Elevated serum E-selectin in patients with liver metastases of colorectal cancer. Eur J Cancer 1996;32A:1215–8.
(6) Matsuura N, Narita T, Mitsuoka C, Kimura N, Kannagi R, Imai T, et al.
Increased concentration of soluble E-selectin in the sera of breast cancer patients. Anticancer Res 1997;17:1367–72.
(7) Hebbar M, Revillion F, Louchez MM, Vilain MO, Fournier C, Bonneterre
J, et al. The relationship between concentrations of circulating soluble E-selectin and clinical, pathological, and biological features in patients with breast cancer. Clin Cancer Res 1998;4:373–80.
(8) Hartwell DW, Butterfield CE, Frenette PS, Kenyon BM, Hynes RO, Folk-
man J, et al. Angiogenesis in P- and E-selectin-deficient mice. Microcir- culation 1998;5:173–8.
(9) Nangia-Makker P, Honjo Y, Sarvis R, Akahani S, Hogan V, Pienta KJ,
et al. Galectin-3 induces endothelial cell morphogenesis and angiogenesis. Am J Pathol 2000;156:899–909.
(10) Barondes SH, Cooper DN, Gitt MA, Leffler H. Galectins. Structure and
function of a large family of animal lectins. J Biol Chem 1994;269:20807–10.
(11) Van den Brule FA, Castronovo V. Laminin binding lectins during invasion
and metastasis. In: Lectins and pathology. London (U.K.): Taylor & Fran- cis, Inc.; 2000.
(12) Nangia-Makker P, Akahani S, Bresalier R, Raz A. The role of galectin-3 in
tumor metastasis. In: Lectins and pathology. London (U.K.): Taylor & Francis, Inc.; 2000.
(13) Meromsky L, Lotan R, Raz A. Implications of endogenous tumor cell
surface lectins as mediators of cellular interactions and lung colonization. Cancer Res 1986;46:5270–5.
(14) Glinsky GV, Price JE, Glinsky VV, Mossine VV, Kiriakova G, Metcalf JB.
Inhibition of human breast cancer metastasis in nude mice by synthetic glycoamines. Cancer Res 1996;56:5319–24.
(15) Beuth J, Ko HL, Schirrmacher V, Uhlenbruck G, Pulverer G. Inhibition of
liver tumor cell colonization in two animal tumor models by lectin blocking with D-galactose or arabinogalactan. Clin Exp Metastasis 1988;6:115–20.
(16) Inufusa H, Nakamura M, Adachi T, Aga M, Kurimoto M, Nakatani Y,
et al. Role of galectin-3 in adenocarcinoma liver metastasis. Int J Oncol 2001;19:913–9.(17) Smith-Barbaro P, Hanson D, Reddy BS. Carcinogen binding to various
types of dietary fiber. J Natl Cancer Inst 1981;67:495–7.
(18) Pienta KJ, Naik H, Akhtar A, Yamazaki K, Replogle TS, Lehr J, et al.
Inhibition of spontaneous metastasis in a rat prostate cancer model by oral administration of modified citrus pectin. J Natl Cancer Inst 1995;87:348–53.
(19) Platt D, Raz A. Modulation of the lung colonization of B16-F1 melanoma
cells by citrus pectin. J Natl Cancer Inst 1992;84:438–42.
(20) Inohara H, Raz A. Effects of natural complex carbohydrate (citrus pectin)
on murine melanoma cell properties related to galectin-3 functions. Gly- coconj J 1994;11:527–32.
(21) Hayashi A, Gillen AC, Lott JR. Effects of daily oral administration of
quercetin chalcone and modified citrus pectin. Altern Med Rev 2000;5:546–52.
(22) Hsieh TC, Wu JM. Changes in cell growth, cyclin/kinase, endogenous
phosphoproteins and nm23 gene expression in human prostatic JCA-1 cells treated with modified citrus pectin. Biochem Mol Biol Int 1995;37:833–41.
(23) Avivi-Green C, Madar Z, Schwartz B. Pectin-enriched diet affects distri-
bution and expression of apoptosis-cascade proteins in colonic crypts of dimethylhydrazine-treated rats. Int J Mol Med 2000;6:689–98.
(24) Avivi-Green C, Polak-Charcon S, Madar Z, Schwartz B. Apoptosis cascade
proteins are regulated in vivo by high intracolonic butyrate concentration:correlation with colon cancer inhibition. Oncol Res 2000;12:83–95.
(25) Avivi-Green C, Polak-Charcon S, Madar Z, Schwartz B. Dietary regulation
and localization of apoptosis cascade proteins in the colonic crypt. J Cell Biochem 2000;77:18–29.
(26) Gibson GR, Roberfroid MB. Dietary modulation of the human colonic
microbiota: introducing the concept of prebiotics. J Nutr 1995;125:1401–12.
(27) Bresalier RS, Niv Y, Byrd JC, Duh QY, Toribara NW, Rockwell RW, et al.
Mucin production by human colonic carcinoma cells correlates with their metastatic potential in animal models of colon cancer metastasis. J Clin Invest 1991;87:1037–45.
(28) Bresalier RS, Mazurek N, Sternberg LR, Byrd JC, Yunker CK, Nangia-
Makker P, et al. Metastasis of human colon cancer is altered by modifying expression of the beta-galactoside-binding protein galectin 3. Gastroenter- ology 1998;115:287–96.
(29) Ochieng J, Platt D, Tait L, Hogan V, Raz T, Carmi P, et al. Structure-
function relationship of a recombinant human galactoside-binding protein. Biochemistry 1993;32:4455–60.
(30) Price JE, Polyzos A, Zhang RD, Daniels LM. Tumorigenicity and metas-
tasis of human breast carcinoma cell lines in nude mice. Cancer Res 1990;50:717–21.
(31) Bussolino F, Mantovani A, Persico G. Molecular mechanisms of blood
vessel formation. Trends Biochem Sci 1997;22:251–6.
(32) Hensel A, Meier K. Pectins and xyloglucans exhibit antimutagenic activi-
ties against nitroaromatic compounds. Planta Med 1999;65:395–9.
(33) Taper HS, Delzenne NM, Roberfroid MB. Growth inhibition of transplant-
able mouse tumors by non-digestible carbohydrates. Int J Cancer 1997;71:1109–12.
(34) Al-Mehdi AB, Tozawa K, Fisher AB, Shientag L, Lee A, Muschel RJ.
Intravascular origin of metastasis from the proliferation of endothelium- attached tumor cells: a new model for metastasis. Nat Med 2000;6:100–2.
(35) Liu Y, Ahmad H, Luo Y, Gardiner DT, Gunasekera RS, McKeehan WL,
et al. Citrus pectin: characterization and inhibitory effect on fibroblast
growth factor-receptor interaction. J Agric Food Chem 2001;49:3051–7.
NOTES
Supported in part by Department of Defense grant BC991100; Public Health Service grants RO1CA46120 and RO1CA69480 from the National Cancer In- stitute, National Institutes of Health, Department of Health and Human Services;and by grant DE-FG09-93ER-20097 from the Center for Plant and Microbial Complex Carbohydrates (funded by the Department of Energy).
Manuscript received January 16, 2002; revised August 23, 2002; accepted October 1, 2002. - previous: Fighting Cancer Metastasis an
next:A New Approach to Metastatic C - back

