Literature
- Immunity literature
- Skin-care literature
- Anti-alcohol literature
- Detoxification literature
- GI health literature
- Cholesterol health literature
- back
Contact us
Zhejiang Gold Kropn Bio-technology Co.,Ltd.
Tal:0570-8788056
Fax:0570-8788381
E-mail:zjgykp@163.com
Address:No.2,Donggang 4 Road,Donggang Economic Development Zone,Quzhou City,Zhejiang Province
- Pectin induces apoptosis in human prostate cancer cells: correlation of apoptotic function with pectin structure
- date: 2019-04-12 visits:7556
Pectin induces apoptosis in human prostate cancer cells: correlation of apoptotic function with pectin structure
Crystal L Jackson2,3, Tina M Dreaden2,3, LisaK Theobald2,3, Nhien M Tran2,3, Tiffany L Beal2,3,Manal Eid4, Mu Yun Gao2,3, Robert B Shirley4, Mark
T Stoffel2,3, M Vijay Kumar4, and Debra Mohnen1,2,3
Complex Carbohydrate Research Center and Department of Biochemistry and Molecular Biology, The University of Georgia, Athens, GA 30602 and
Medical College of Georgia and VA Medical Center, Augusta, GA 30912
Received on September 26, 2006; revised on May 9, 2007; accepted on May 11, 2007
Treatment options for androgen-independent prostate cancer cells are limited. Therefore, it is critical to identify agents that induce death of both androgen-responsive and androgen-insensitive cells. Here we demonstrate that a product of plant cell walls, pectin, is capable of inducing apoptosis in androgen-responsive (LNCaP) and androgen- independent (LNCaP C4-2) human prostate cancer cells. Commercially available fractionated pectin powder (FPP)induced apoptosis (approximately 40-fold above non- treated cells) in both cell lines as determined by the Apoptosense assay and activation of caspase-3 and its sub- strate, poly(ADP-ribose) polymerase. Conversely, citrus pectin (CP) and the pH-modified CP, PectaSol, had little or no apoptotic activity. Glycosyl residue composition and linkage analyses revealed no significant differences among the pectins. Mild base treatment to remove ester linkages destroyed FPP’s apoptotic activity and yielded homogalacturonan (HG) oligosaccharides. The treatment of FPP with pectinmethylesterase to remove galacturono- syl carboxymethylesters and/or with endopolygalacturo- nase to cleave nonmethylesterified HG caused no major reduction in apoptotic activity, implicating the requirement for a base-sensitive linkage other than the carboxymethyl- ester. Heat treatment of CP (HTCP) led to the induction of significant levels of apoptosis comparable to FPP, suggesting a means for generating apoptotic pectic struc- tures. These results indicate that specific structural elements within pectin are responsible for the apoptotic activity, and that this structure can be generated, or enriched for, by heat treatment of CP. These findings provide the foundation for mechanistic studies of pectin apoptotic activity and a basis for the development of pectin- based pharmaceuticals, nutraceuticals, or recommended diet changes aimed at combating prostate cancer occurrence
and progression.
Key words: apoptosis/cancer/pectin/prostate/structureIntroduction
Prostate cancer is the most common malignancy and the second leading cause of death from cancer in American men. The goal of many cancer therapies, such as antihormone therapy and chemotherapy, is to induce apoptosis in tumor cells. Androgen deprivation therapies induce cell death in androgen-sensitive cells (Colombel and Buttyan 1995, Bruckheimer et al. 1999, Perlman et al. 1999), whereas andro- gen-insensitive cells remain unaffected (Kozlowski et al. 1991;Santen 1992; Kreis 1995). However, androgen-insensitive cells are capable of undergoing apoptosis. Thus, the identification of novel methods to induce apoptosis in prostate cancer cells irre- spective of their androgen response has significant therapeutic value. In this paper, we demonstrate that pectin, a plant poly- saccharide, induces apoptosis in both androgen-responsive and androgen-independent prostate cancer cells. This is the first extensive analysis correlating structural features of pectin with apoptosis-inducing activity in cancer cells.
The role of dietary components in cancer prevention and progression is an area of increasing clinical and scientific inter- est. Both the American Institute of Cancer Research and the World Cancer Research Fund estimate that 30– 40% of world- wide cancer cases are preventable by dietary means. Pectin is a natural complex plant polysaccharide present in all higher plant primary cell walls and, consequently, is a dietary com- ponent of all fruits and vegetables. Pectin accounts for approximately 30% of the primary walls of all higher plants except the grass family, where it makes up about 10% of the primary wall. Pectin has multiple roles in plant growth, devel- opment, and disease resistance (Ridley et al. 2001), and is used as a gelling and stabilizing agent in the food industry (Thakur et al. 1997).
Previous research has shown that pectin can suppress colonic tumor incidence in rats (Heitman et al. 1992) and inhibit cancer cell metastasis in mice and rats (Platt and Raz 1992; Pienta et al. 1995; Nangia-Makker et al. 2002). Pectin has been shown to bind to B16-F1 melanoma cells in vitro
(Platt and Raz 1992). Furthermore, when injected intrave- nously in mice, relatively large commercial pectin increased homotypic cell – cell aggregation and metastasis to the lung while pH-modified, relatively small pectin inhibited lung metastasis (Platt and Raz 1992), demonstrating a differential response depending upon the type of pectin used. Oral admin- istration of a pH-modified citrus pectin (CP) significantly reduced metastasis of rat prostate adenocarcinoma MAT- LyLu to the lung (Pienta et al. 1995). It is noteworthy that those anti-metastatic effects of pectins occurred in the absence of cell toxicity (Inohara and Raz 1994). From such data, it has been hypothesized that pectins can bind to cancer cell surface galectins (galactose-binding lectins) and interfere with cell – cell or cell – matrix adhesion, inhibiting metastatic lesions (Inohara and Raz 1994).
Several studies have indicated that pectins not only inhibit metastatic lesions, but also induce apoptosis in cancer cells. Azoxymethane-injected rats fed a citrus pectin or fish oil/
pectin diet had a greater number of apoptotic cells per colon crypt column compared with rats fed corn oil and/or cellulose (Chang W-CL et al. 1997). Furthermore, pectin/
fish oil-fed rats had a lower incidence of adenocarcinoma
(51.5%) than animals fed cellulose/corn oil (75.6%) (Chang W-CL, et al. 1997; Chang WC, et al. 1997). The apoptotic index in the distal colon of pectin-fed rats was higher than that in rats fed a standard diet. This was accompanied by reduced expression of the anti-apoptotic protein Bcl-2 and activation of caspase-1 and poly(ADP-ribose) polymerase (PARP), subs- trates of caspases (Avivi-Green, Madar, et al. 2000; Avivi- Green, Polak-Charcon 2000b, c). Similarly, the administration of a pectin-rich 15% orange-pulp diet to dimethylhydrazine- injected Sprague-Dawley rats resulted in a decreased number of endophytic tumors, an activation of caspase-3, and an increased activity of T-cell killers in the tumors; all characteristic anti-tumor effects (Kossoy et al. 2001). In human colon adenocarcinoma HT29 cells, caspase-3 activity increased significantly when cells were treated with 10 mg/
mL low-methylated apple pectin (Olano-Martin et al. 2003). Preclinical studies using a modified a citrus pectin, GCS-100, showed induction of apoptosis in human multiple myeloma cell lines that are resistant to conventional and bortezomib thera- pies (Chauhan et al. 2005). While GCS-100 did not alter normal lymphocyte cell viability, in the myeloma lines it induced DNA fragmentation and the activation of caspase-8, caspase-3, and PARP indicating that GCS-100 triggered apop- tosis primarily through the intrinsic pathway. Interestingly, the GCS-100 also inhibited the growth of multiple myeloma cells directly purified from patients who had relapsed follow- ing multiple therapies with dexamethasone, bortezomib, and thalidomide (Chauhan et al. 2005), providing evidence that GCS-100 can induce apoptosis in chemo-resistant myeloma cells. Taken together, these results suggest that exposure of malignant cells to pectin induces apoptosis and reduces tumor growth.
Although the usefulness of pectins in cancer therapy is beginning to be appreciated, the mechanism of induction of apoptosis by pectins is not known. The elucidation of the mechanism(s) of action of pectin is complicated by (i)the structural complexity of this plant-derived cell wall polysaccharide, (ii) the modifications in pectin structure resulting from the process of its extraction from plants, and (iii) the additional modifications of pectin structure that result from the diverse fragmentation techniques used to produce specialized pectins [e.g. high-pH (base) treat- ment (Platt and Raz 1992; Pienta et al. 1995; Eliaz 2001;Nangia-Makker et al. 2002)]. Pectin is a family of complex polysaccharides that contain 4-linked a-D-galac- turonic acid residues (O’Neill et al. 1990). It is generally accepted that three types of polysaccharides comprise pectin: a linear homopolymer known as homogalacturonan
(HG), the branched polymer rhamnogalacturonan I (RG-I), and the substituted galacturonans of which the ubiquitous member is rhamnogalacturonan II (RG-II) (Albersheim
et al. 1996; Ridley et al. 2001).
806Introduction
Prostate cancer is the most common malignancy and the second leading cause of death from cancer in American men. The goal of many cancer therapies, such as antihormone therapy and chemotherapy, is to induce apoptosis in tumor cells. Androgen deprivation therapies induce cell death in androgen-sensitive cells (Colombel and Buttyan 1995, Bruckheimer et al. 1999, Perlman et al. 1999), whereas andro- gen-insensitive cells remain unaffected (Kozlowski et al. 1991;Santen 1992; Kreis 1995). However, androgen-insensitive cells are capable of undergoing apoptosis. Thus, the identification of novel methods to induce apoptosis in prostate cancer cells irre- spective of their androgen response has significant therapeutic value. In this paper, we demonstrate that pectin, a plant poly- saccharide, induces apoptosis in both androgen-responsive and androgen-independent prostate cancer cells. This is the first extensive analysis correlating structural features of pectin with apoptosis-inducing activity in cancer cells.
The role of dietary components in cancer prevention and progression is an area of increasing clinical and scientific inter- est. Both the American Institute of Cancer Research and the World Cancer Research Fund estimate that 30– 40% of world- wide cancer cases are preventable by dietary means. Pectin is a natural complex plant polysaccharide present in all higher plant primary cell walls and, consequently, is a dietary com- ponent of all fruits and vegetables. Pectin accounts for approximately 30% of the primary walls of all higher plants except the grass family, where it makes up about 10% of the primary wall. Pectin has multiple roles in plant growth, devel- opment, and disease resistance (Ridley et al. 2001), and is used as a gelling and stabilizing agent in the food industry (Thakur et al. 1997).
Previous research has shown that pectin can suppress colonic tumor incidence in rats (Heitman et al. 1992) and inhibit cancer cell metastasis in mice and rats (Platt and Raz 1992; Pienta et al. 1995; Nangia-Makker et al. 2002). Pectin has been shown to bind to B16-F1 melanoma cells in vitro
(Platt and Raz 1992). Furthermore, when injected intrave- nously in mice, relatively large commercial pectin increased homotypic cell – cell aggregation and metastasis to the lung while pH-modified, relatively small pectin inhibited lung metastasis (Platt and Raz 1992), demonstrating a differential response depending upon the type of pectin used. Oral admin- istration of a pH-modified citrus pectin (CP) significantly reduced metastasis of rat prostate adenocarcinoma MAT- LyLu to the lung (Pienta et al. 1995). It is noteworthy that those anti-metastatic effects of pectins occurred in the absence of cell toxicity (Inohara and Raz 1994). From such data, it has been hypothesized that pectins can bind to cancer cell surface galectins (galactose-binding lectins) and interferewith cell – cell or cell – matrix adhesion, inhibiting metastatic lesions (Inohara and Raz 1994).
Several studies have indicated that pectins not only inhibit metastatic lesions, but also induce apoptosis in cancer cells. Azoxymethane-injected rats fed a citrus pectin or fish oil/
pectin diet had a greater number of apoptotic cells per colon crypt column compared with rats fed corn oil and/or cellulose (Chang W-CL et al. 1997). Furthermore, pectin/
fish oil-fed rats had a lower incidence of adenocarcinoma
(51.5%) than animals fed cellulose/corn oil (75.6%) (Chang W-CL, et al. 1997; Chang WC, et al. 1997). The apoptotic index in the distal colon of pectin-fed rats was higher than that in rats fed a standard diet. This was accompanied by reduced expression of the anti-apoptotic protein Bcl-2 and activation of caspase-1 and poly(ADP-ribose) polymerase (PARP), subs- trates of caspases (Avivi-Green, Madar, et al. 2000; Avivi- Green, Polak-Charcon 2000b, c). Similarly, the administration of a pectin-rich 15% orange-pulp diet to dimethylhydrazine- injected Sprague-Dawley rats resulted in a decreased number of endophytic tumors, an activation of caspase-3, and an increased activity of T-cell killers in the tumors; all characteristic anti-tumor effects (Kossoy et al. 2001). In human colon adenocarcinoma HT29 cells, caspase-3 activity increased significantly when cells were treated with 10 mg/
mL low-methylated apple pectin (Olano-Martin et al. 2003). Preclinical studies using a modified a citrus pectin, GCS-100, showed induction of apoptosis in human multiple myeloma cell lines that are resistant to conventional and bortezomib thera- pies (Chauhan et al. 2005). While GCS-100 did not alter normal lymphocyte cell viability, in the myeloma lines it induced DNA fragmentation and the activation of caspase-8, caspase-3, and PARP indicating that GCS-100 triggered apop- tosis primarily through the intrinsic pathway. Interestingly, the GCS-100 also inhibited the growth of multiple myeloma cells directly purified from patients who had relapsed follow- ing multiple therapies with dexamethasone, bortezomib, and thalidomide (Chauhan et al. 2005), providing evidence that GCS-100 can induce apoptosis in chemo-resistant myeloma cells. Taken together, these results suggest that exposure of malignant cells to pectin induces apoptosis and reduces tumor growth.
Although the usefulness of pectins in cancer therapy is beginning to be appreciated, the mechanism of induction of apoptosis by pectins is not known. The elucidation of the mechanism(s) of action of pectin is complicated by (i)the structural complexity of this plant-derived cell wall polysaccharide, (ii) the modifications in pectin structure resulting from the process of its extraction from plants, and (iii) the additional modifications of pectin structure that result from the diverse fragmentation techniques used to produce specialized pectins [e.g. high-pH (base) treat- ment (Platt and Raz 1992; Pienta et al. 1995; Eliaz 2001;Nangia-Makker et al. 2002)]. Pectin is a family of complex polysaccharides that contain 4-linked a-D-galac- turonic acid residues (O’Neill et al. 1990). It is generally accepted that three types of polysaccharides comprise pectin: a linear homopolymer known as homogalacturonan
(HG), the branched polymer rhamnogalacturonan I (RG-I), and the substituted galacturonans of which the ubiquitous member is rhamnogalacturonan II (RG-II) (Albersheim
et al. 1996; Ridley et al. 2001).Homogalacturonan accounts for 57– 69% of pectin
(Mohnen 2002) and is a linear polymer of 1,4-linked a-D- galactopyranosyluronic acid (GalA) in which some 8 – 74%,
(Voragen et al. 1986) of the carboxyl groups may be methyl esterified. HG may also be partially O-acetylated at C-3 or C-2. The length of HG remains unclear, but degrees of polymerization of 30– 200 have been reported (reviewed in Mohnen 1999). Rhamnogalacturonan-I (RG-I) is a family of pectic polysaccharides that accounts for 7 – 14% of pectin and consists of a backbone of the repeating disaccharide
[!4)-a-D-GalpA-(1 ! 2)-a-L-Rhap-(1 ! ]. Roughly 20 –
80% of the rhamnoses of RG-I are substituted by L-arabinose,
D-galactose, L-arabinans, galactans, or arabinogalactans
(O’Neill et al. 1990; Mohnen 1999; Ridley et al. 2001). The side branches include a-1,5- and a-1,3-linked arabinans,
b-1,4-linked or b-1,3 and b-1,6-linked galactans, and arabino-
galactans of diverse linkages (reviewed in Mohnen 1999). The average MW of sycamore RG-I is estimated to be 10 – 10 Da
(O’Neill et al. 1990). RG-II is a substituted galacturonan that accounts for 10 –11% of pectin and whose structure is highly conserved across plant species. RG-II consists of a HG back- bone with four side branches of complex structure. RG-II is arguably the most complicated polysaccharide in nature, con- sisting of 12 different types of sugars joined in more than 20 different linkages and contains unusual sugars such as 2-O- methyl xylose, 2-O-methyl fucose, 2-keto-3-deoxy-D-manno- octulopyranosylonic acid, 3-deoxy-D-lyxo-2-heptulopyrano- sylaric acid and apiose (O’Neill et al. 2004).
HG, RG-I, and RG-II are generally purified from intact-pur- ified cell walls by treatment with the enzyme endopolygalac- turonase, which cleaves a stretch of four or more contiguous non-methylesterified a-1,4-linked galacturonic acid residues in HG (Chen and Mort 1996). The ability to cleave the pectic polysaccharides from the intact wall has been used as evidence to support the model that the backbones of the three pectic polysaccharides are covalently linked together in the wall. Nakamura et al. (2002) have provided structural evi- dence to support this linkage. Additional mechanisms for the association of the pectic polysaccharides include the formation
of borate ester cross-linked RG-II dimers (Kobayashi et al.
2þ
1996; O’Neill et al. 1996), HG – Ca interchain salt bridges
(Morris et al. 1982), and possible feruloyl polysaccharide ester crosslinks (Fry 1982; Ishii 1997). However, a complete understanding of the larger 3D structure of pectin in the wall, and how the polymers are associated in the wall, is still lacking. For example, the role of proposed ester crosslinks between the carboxyl moiety of galacturonic acid in HG and other pectic or wall polymers remains unclear (Kim and Carpita 1992; Brown and Fry 1993; Iiyama et al. 1994; Hou and Chang 1996; Djelineo 2001). Although the structural iden- tity of the proposed ester(s) linkage at the carboxyl group of galacturonic acid in pectin is not known, the data presented in this paper, for the first time, suggest that this linkage may be involved in the apoptotic activity of pectin.
Whereas the structure of RG-II is conserved, the structures of HG and RG-I are more variable in different plants and cell types because of differences in polymer size, in the patterns of acetylation, methylation, and other modifications of GalA in the backbone of HG, and of variations in the length and type of side branches on the RG-I backbone. Furthermore, the production of commercial pectin usually involves an acid extraction of pectin from dried citrus peels or apple pomace (Thakur et al. 1997), a process which results in the destruction and loss of RG-II and of some RG-I. In some cases, commercial CP may be further treated with base or heat to yield partially fragmented, and structurally modified, pectin. Thus, an evaluation of the biological effectiveness of pectin must be accompanied by an understanding of the structure of the biologically active pectin.
The goals of the present research were two-fold: (i) to examine the potential use of pectin in cancer therapy and
(ii) to correlate the structural features of pectin with its apoptosis-inducing activity. The rationale is that pectins have multiple health promoting effects (Yamada et al. 2003;Yamada 1996) and induce apoptosis in several types of cancer cells. The extraordinary structural complexity of pectin
(Ridley et al. 2001) makes it a potential multi-functional therapeutic agent. We report that fractionated pectin powder
(FPP), a commercially available pectin generated by heat modification of CP, as well as heat-treated CP created in our laboratory, induce apoptosis in prostate cancer cells. Furthermore, by manipulating the structure of pectin, we demonstrate that a base-sensitive linkage is necessary for the apoptotic activity of pectin.Results
Effect of three commercial pectins on apoptosis in human prostate cancer cell lines LNCaP and LNCaP C4-2
The androgen response of prostate cancer cells is an important criterion for devising appropriate therapy. Since the cell line was developed, LNCaP cells have extensively been utilized as an androgen-responsive cell line in prostate cancer research. The sister cell line LNCaP C4-2 was derived from LNCaP cells by passing twice through mice and is androgen dependent. As discussed earlier, the structure of commercially available pectin differs depending on the source and method of its prep- aration. Therefore, to examine whether pectins prepared using different extraction protocols have similar biological effects, prostate cancer cells were treated with several commercially available pectin preparations: a citrus pectin (CP), Pectasol
(PeS), and fractionated pectin powder (FPP). CP represents the starting pectin (i.e. “mother pectin”) used to make the modi- fied pectins. PeS is a pH-modified pectin generated by base treatment of CP. PeS is similar to the pH-modified pectins used in many of the previously published studies reporting anti-cancer effects of pectin (Platt and Raz 1992; Pienta et al. 1995; Chauhan et al. 2005). FPP represents another type of commercial pectin generated by heat treatment of CP (HTCP)at 100 – 132 8C for 20 min to 5.5 h. Cells incubated in media devoid of pectin served as negative controls, whereas cells treated with thapsigargin, a compound that induces apoptosis in these prostate cancer cells, were the positive controls.
Figure 1 shows that, among the pectins tested, FPP induced significant apoptosis in both LNCaP (Figure 1A) and LNCaP C4-2 (Figure 1B) cells, whereas PeS and CP induced little or no apoptosis. As expected, thapsigargin, utilized as a positive control, induced significant apoptosis. In the above experiments, apoptosis was quantified using an enzyme-linked immunosor- bent assay (ELISA) to measure the generation of an apoptosis- specific neoepitope of cytokeratin-18, a substrate of activated caspase. To confirm the induction of apoptosis further, cell extracts were analyzed by immunoblots, which showed acti- vation of caspase-3, an inducer of apoptosis, in both LNCaP and LNCaP C4-2 cells treated with FPP (Figure 1C). The 35 kDa procaspase-3 was cleaved into 19, 17, and 12 kDa pro- ducts when treated with FPP, confirming significant apoptotic response. None of the other pectins induced a similar response, supporting the ELISA assay data. As expected, thapsigargin- treated cells showed activation of caspase-3.
The analysis of the cell extracts for the presence of PARP, a substrate of activated caspases, showed the presence of an 85 kDa cleaved product in the positive control (thapsigargin- treated cells) and in the cells treated with FPP (Figure 1D), but not with PeS or CP. Thus, we confirmed the induction of apoptosis by FPP using three lines of evidence: (i) activation of capase-3 and effect of the activated caspase on two sub- strates, (ii) PARP, and (iii) cytokeratin-18.
As the above results showed that among the pectins tested, only FPP induced appreciable apoptosis, experiments were conducted to identify the effective dose of FPP required for apoptosis. The treatment of LNCaP cells with increasing con- centrations of FPP showed that 3 mg/mL FPP induced maximum apoptosis (Figure 2). Lower concentrations of 0.01 and 0.10 mg/mL of FPP did not affect LNCaP cells, whereas 1.0 mg/mL induced significant apoptosis. As no sig- nificant differences in apoptosis were noted between 1 and 3 mg/mL, subsequent experiments were conducted using
1 mg/mL FPP.
Defining the pectic structure(s) in FPP that induce apoptosis
The above results showed that, among the tested compounds, only FPP induced apoptosis. Therefore, it was of interest to analyze the structure of FPP to identify the components(s)that imparted appreciable apoptosis-inducing activity. Pectin is a complex polymer consisting of the polysaccharides HG, RG-I, and RG-II that are held together in the plant wall by incompletely defined covalent and/or noncovalent inter- actions. We hypothesized that the apoptosis-inducing activity resided in one or more of the pectic polysaccharides HG, RG-I, and RG-II. To test this hypothesis and to determine which structural features of pectin were required to induce apoptosis, LNCaP and LNCaP C4-2 cells were treated for 48 h with 1 mg/mL of pectin fractions enriched for HG, RG-I, or RG-II. The HG fraction consisted primarily of HG oligosaccharides (oligogalacturonides; OGAs) of degrees of polymerization of 7 – 23. Figure 3 shows that none of the pur- ified pectic polysaccharides induced appreciable apoptosis in either the LNCaP (Figure 3A) or the LNCaP C4-2 cells
(Figure 3B), suggesting that the apoptosis-inducing activity did not reside in the individual HG, RG-I, or RG-II polysac- charides. Thus, we hypothesized that some aspect of pectin structure lost during the preparation of the purified RG-I, RG-II, and HG was responsible for the apoptosis-inducing activity in FPP.
To determine whether major structural differences among FPP, CP, and PeS accounted for the apoptosis-inducing activity, the relative sizes of FPP, PeS, and CP were established by sep- aration over a Superose 12 HR10 size exclusion chromato- graphy (SEC) column in 50 mM sodium acetate and 5 mM ethylenediaminetetraacetic acid (EDTA). The eluted pectins
were detected using an uronic acid colorimetric assay.
Fig. 1. Induction of apoptosis by FPP. (A) LNCaP cells were treated with 1 mg/mL FPP, PeS, CP, or with 0.01 mM thapsigargin (Pos) for 48 h. Incubation with media alone served as the negative control (Neg). Equal amounts of cell extracts (12 mg protein) were used for measuring apoptosis. Apoptosis was measured using an M30-Apoptosense assay, which measures antibody binding to a neoepitope generated following cleavage of cytokeratin-18 by activated caspases. Data are the average of duplicate apoptosis assays of duplicate cell extracts + SEM. Comparable results were obtained in at least two experiments. (B) Induction of apoptosis in LNCaP C4-2 cells. See (A) above for detailed description. (C) Activated Caspase-3 in LNCaP and LNCaP C4-2 cells treated with FPP. Western blot analysis of 30 mg protein from LNCaP and LNCaP C4-2 cells treated as described in (A) using anti-caspase-3 antibody (see the Materials and methods section). Procaspase-3 is shown at 35 kDa while cleaved products are present at 19, 17, and 12 kDa. (D) Activated PARP in LNCaP and LNCaP C4-2 cells treated with FPP. Western analysis using anti-PARP antibody showed poly (ADP-ribose) polymerase is at 116 kDa and its cleavage product at 85 kDa.
Figure 3C shows that FPP was intermediate in size between the polydisperse and large CP (Figure 3E), which has an estimated molecular mass range of 23–71 kDa and the relatively uni- formly sized and low-molecular-weight PeS (Figure 3D), which has a molecular mass range of 10–20 kDa. The polydis- perse and intermediate size of FPP (Figure 3C) may indicate that the apoptosis-inducing activity requires an intermediate size polymeric structure, although proof of this requires elucida- tion of the specific apoptosis-inducing moiety.
The individual pectic polysaccharides HG, RG-I, and RG-II are purified from wall-derived pectin by a combination of chemical and enzyme treatments. A common initial purifi- cation step to isolate HG, RG-I, and RG-II is to subject plant walls to a mild base treatment to remove ester linkages within pectin. Such a treatment removes, for example, methyl esters on the GalA residues in HG rendering the pectin more accessible to the action of enzymes, such as endo- polygalacturonases (EPGs). EPGs cleave HG in regions with contiguous nonesterified GalA residues (Chen and Mort 1996), thereby fragmenting the pectin and releasing RG-I and RG-II. Therefore, to determine whether ester linkages are required for the apoptosis-inducing activity, FPP was deesterified by mild base treatment. FPP was brought to pH 12 for 4 h at 2 8C on ice, neutralized, and repeatedly lyophilized against water, as
described in the Materials and methods section. 808Alternatively, the FPP or the deesterified FPP was treated with EPG to fragment the pectin. LNCaP cells were treated with the enzyme-treated FPP to determine whether cleavage of an HG-containing region of FPP affected its apoptosis- inducing activity. Apoptosis assays showed that EPG treatment

Fig. 2. Concentration curve for apoptosis-inducing effect of FPP. LNCaP cells were treated for 48 h with increasing concentrations (0.01–3 mg/mL) FPP, with 1 mM Thapsigargin (Pos) or with media alone (Neg). Apoptosis was measured using the M30 Apoptosense assay. Data are the average of duplicate apoptosis assays of duplicate cell extracts (29 mg protein) + SEM. Comparable results were obtained in two independent experiments.

Fig. 3. Determination of the active structural components in FPP that contribute to its apoptosis-inducing activity. (A) Effects of treatment of LNCaP cells with the purified pectins. LNCaP cells were treated with 1 mg/mL HG, RG-I, and RG-II for 48 h and equal amounts of protein (12 mg) were assayed for apoptosis using the M30 Apoptosense assay. Data are the average of duplicate apoptosis assays of duplicate cell extracts + SEM. Comparable results were obtained in three independent experiments. (B) Same as (A) except that LNCaP C4-2 cells were used. (C–E) The size distribution of the pectins as determined by SEC over a Superose 12 HR10 column in 50 mM sodium acetate and 5 mM EDTA and detection by an uronic acid colorimetric assay. (C) Data for FPP; (D) Data for PeS; and
(E) Data for CP. (F), Effect of mild base deesterification and/or endopolygalacturonase treatment of FPP on its ability to induce apoptosis. LNCaP cells were
treated with 1 mg/mL FPP, FPP treated with endopolygalacturonase (FPP þ EPG), FPP deesterified by mild base treatment (DES FPP), deesterified FPP that was subsequently treated with endopolygalacturonase (DES þ EPG), 0.01 mM thapsigargin (Pos), or media only (Neg). Data are the average of duplicate apoptosis assays of duplicate cell extracts (30 mg protein) + SEM. Similar results were obtained in two independent experiments.of FPP had little or no effect on its apoptosis-inducing activity
(Figure 3F). On the contrary, mild base treatment to remove ester linkages almost completely abolished the pectin- induced apoptotic response, indicating that one or more base-sensitive linkages (e.g. ester linkages) of FPP is neces- sary for its apoptotic function.
To determine whether the apoptotic effects of FPP were due to uniquely enriched specific pectic carbohydrates, the glyco- syl residue composition of FPP, PeS, and CP were compared. Figure 4 shows the average mole percent glycosyl residue composition of unmodified and base-treated FPP, CP, and PeS. As expected, GalA was the major component in all three pectins tested. No consistent correlation was found between the apoptosis-inducing activity and the glycosyl residue composition of FPP compared with unmodified CPand PeS. For example, FPP was arabinose-rich compared with PeS, but had comparable amounts of Ara to CP. Likewise, both FPP and PeS had less Gal, slightly less Rha, and more GalA than CP.
As noted in Figure 3F, mild base treatment to remove ester linkages in FPP destroyed its apoptosis-inducing activity. To determine whether this treatment altered the glycosyl residue composition, FPP, CP, and PeS were brought to pH 12 for 4 h, neutralized, and lyophilized (as described in the
Materials and methods section), and the glycosyl residue com- position was determined. Surprisingly, the deesterification step led to a large reduction (90%) in the amount of Ara recovered in FPP (Figure 4), but did not alter Ara significantly in CP and PeS. At this time, the reason for the loss of Ara in deesterified
FPP and its importance for biological activity are unclear.
Fig. 4. Glycosyl residue composition analyses of unmodified and base-treated FPP, PeS, and CP. Composition analyses were done by GC–MS of TMS derivatives of methyl glycosides produced by acid methanolysis (York et al. 1985). Data are the average + SEM mole percentage of each sugar from duplicate analyses from two separate experiments (N ¼ 4).To evaluate the fine structural differences among FPP, CP, and PeS, and in an effort to identify the pectic structure(s) in FPP responsible for its biological activity further, the glyco- syl residue linkages present in FPP, CP, and PeS were deter- mined using both a single (Table I) and double (Table II)methylation procedure. The single methylation method has the disadvantage of yielding incomplete methylation with the resulting incomplete linkage results, but has the advan- tage of avoiding or reducing fragmentation of the pectin
because of b-elimination of the glycosyluronic acid linkages in the HG. On the other hand, the double methylation method leads to more complete methylation, but can lead to b-elimination of the glycosyluronic acid linkages (York et al. 1985), and thus, to an apparent increase in the amount of terminal GalA and a loss in the apparent 4-linked GalA (Table II). Comparison of the linkage data for the unmodified pectins showed that all three pectins contain primarily HG (the presence of 4-linked GalA) and RG-I (2-linked Rha and 2,4-linked Rha). FPP and CP con- tained 5-linked arabinan and 4-linked galactan, which are known to occur as side chains of RG-I, whereas these link- ages were absent or greatly reduced in PeS. As expected, in the double methylation procedure (Table II), there was an unrealistically high apparent terminal-GalA content, likely due to fragmentation of the HG because of b-elimi- nation. The amount of terminal GalA was significantly less in the single methylation method. Likewise, as expected, there was more apparent undermethylation of the pectin in the single methylation method, identified as apparent 2,3,4,-linked GalA. Undermethylation likely also explains the greater amounts of 2,3-linked and 3,4-linked GalA obtained in the single methylation method compared with the double methylation method. The only linkage data that correlated with the apoptosis-inducing activity of FPP was the higher amounts of terminal and 5-linked Ara in FPP. These linkages were lost in the base-treated FPP. Whether these glycosyl residues are involved in the apoptosis response remains to be shown.

Linkage analysis was carried out by GC–MS of partially methylated alditol acetates (PMAAs) produced by permethylation, depolymerization, reduction,
and acetylation as described by York et al. (1985). Data are average percentage of glycosyl residues with specified linkages + SEM from duplicate analyses
a b
(N ¼ 2). U represents undermethylated; apparent 2,3,4,-linked GalA. T represents trace; ,1.
Linkage analysis was carried out as explained in Table I, except that following the first methylation the permethylated material was reduced by super-deuteride and the reduced sample was re-methylated using the NaOH/MeI method (see the Materials and methods section). Data are the average percentage of glycosyl
a b
residues with the specified linkages + SEM from duplicate analyses (N ¼ 2). U represents undermethylated; apparent 2,3,4,-linked GalA. T represents
trace; ,1.Evidence for a base-sensitive cross-link in FPP requiredfor apoptotic activity
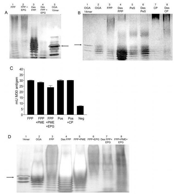
As described earlier, the mild base treatment of FPP to remove ester-linked moieties in pectin destroyed its apoptosis- inducing activity, while treatment with EPG had little or no effect on its apoptosis-inducing activity (Figure 3F). To deter- mine how the base treatment affected the function of FPP, intact, EPG-treated, base-treated (deesterified), and deesterified plus EPG-treated FPP were separated over high percentage polyacrylamide gels. These gels are particularly useful to sepa- rate HG oligosaccharides (OGAs) (Djelineo 2001). The polyacrylamide gel electrophoresis (PAGE) gels were stained with alcian blue and silver stain to detect the pectins. The alcian blue is a positively-charged dye that binds the negatively charged GalA in the pectin. PAGE showed that FPP separated as a smear of dark staining polymeric pectin near the top of the gel
(Figure 5A, lane 1). These lanes also contained discrete bands in the bottom third of the gel that represent OGAs of degrees of polymerization (DP) of approximately 6 – 14. EPG-treated FPP looked similar to unmodified FPP except for the loss of OGAs at the bottom of the gel (Figure 5A, lane 2) as a result of their cleavage by EPG into mono-, di-, and tri-galacturonic acid
(Doong et al. 1995), which cannot be visualized in the alcian stained gels. The similarity of the larger polymeric portion of untreated and EPG-treated FPP suggests that the bulk of the polymeric portion of FPP was not accessible to cleavage by EPG, possibly because of esterification. Unexpectedly, the treat- ment of FPP with mild base to deesterify the pectin led to a major change in the appearance of the FPP as determined by PAGE. Mild base treatment of FPP resulted in the loss of the large polymeric alcian-blue stained material and the appearance of dark-staining bands near the bottom of the gel (compare lanes 3 and 1 in Figure 5A). To test whether these bands rep- resented HG oligosaccharides (i.e. OGAs), the deesterified FPP was subsequently treated with EPG, which eliminated the dark-staining bands at the bottom of the gel (compare lanes 4 and 3 of Figure 5A). These results confirm that the dark-staining bands were indeed OGAs. Since the base treat- ment also led to the loss of the apoptosis-inducing activity
(Figure 3F), we conclude that the linkage of the OGAs into a polymeric structure and/or the specific base-sensitive linkage itself is required for the apoptosis-inducing activity of FPP.
Since FPP had significant apoptotic activity, but PeS or CP did not, intact and mild base treated FPP were compared with treated and untreated PeS and CP to identify any structural differences that correlated with FPP’s apoptotic activity. PAGE analysis of PeS revealed a narrow-range dark-staining smear near the center of the gel and a series of OGAs, consistent with its relative low mass of 10– 20 kDa (Figure 5B, lane 5). Mild base treatment of PeS had no effect on PeS
(Figure 5B, lane 6). This was expected since PeS is generated from CP by a base treatment, and thus, the further base treat- ment did not modify the PeS. A similar analysis of CP revealed that the bulk of untreated CP barely entered the PAGE gel, as indicated by the dark staining material at the top of the gel, although a relatively small amount of OGAs were also detected (Figure 5B, lane 7). Mild base treatment of CP led to the appearance of a broad smear of stained material in the upper half of the gel and to a slight increase in the amount of OGAs (compare lanes 7 and 8, Figure 5B),
which suggests that (i) the generated material was more.
Fig. 5. Use of PAGE to probe the effects of base and enzyme treatment of FPP on its apoptosis-inducing activity. (A) Intact FPP, FPP treated with endopolygalacturonase (FPP þ EPG), base deesterified FPP (Des FPP), and Des FPP that was subsequently treated with EPG (Des FPP þ EPG) separated by PAGE
(see the Materials and methods section). Lanes 1–4, 10 mg of treated or untreated FPP; lane 5: 0.1 mg of OGA enriched for degree of polymerization (DP) 10 (see arrow). (B) Intact FPP, PeS, and CP and the respective base-treated pectins (Des) were separated by PAGE. Lane 1, 0.1 mg OGA of DP 14 (see arrow); lane 2, 1 mg mixture of OGAs of DP approximately 7–23; lanes 3–8, 10 mg of the treated or untreated pectins. (C) Effect of pectinmethylesterase (PME) treatment of FPP on its
ability to induce apoptosis in LNCaP cells. Equal amounts of protein (30 mg) from cells treated with 1 mg/mL FPP, PME-treated FPP (FPP þ PME), pectinmethylesterase and endopolygalacturonase-treated FPP (FPP þ PME þ EPG), 0.001 mM thapsigargin (Pos), 0.001 mM thapsigargin þ 1 mg/mL CP
(Pos þ CP), or media only (Neg) were tested for their ability to induce apoptosis in LNCaP cells as measured by M30 antibody binding. Data are the average of duplicate apoptosis assays of duplicate cell extracts + SEM. Similar results were obtained in at least two separate experiments. (D) PAGE analysis of intact FPP,
base-deesterified FPP (Des FPP), PME-treated FPP (FPP þ PME), EPG-treated FPP (FPP þ EPG), deesterified FPP that was subsequently treated with EPG (Des FPP þ EPG) and PME and endopolygalacturonase-treated FPP (FPP þ PME þ EPG). Lane 1, 0.1 mg OGA of DP 14 (see arrow); lane 2, 1 mg mixture of OGAs of DP approximately 7–23; lanes 3–8, 6 mg of the treated and untreated FPP samples.negatively charged because of an increased number of HG carboxyl groups following the removal of methyl esters and/or that (ii) base treatment led to a reduction in the size of the polymer.
Mild base treatment is non-specific and may remove several types of esters including carboxymethyl, acetyl, and other esters. Therefore, to achieve specific cleavage of HG carboxy- methyl esters, FPP was treated with pectinmethylesterase
(PME). LNCaP cells were treated with intact FPP, with FPP treated with PME, or with FPP treated with both PME and EPG, and the apoptotic activity was assayed. The removal of methyl esters present in FPP resulted in only a very small reduction (4%) in the apoptotic activity of FPP (Figure 5C). Apoptotic activity was reduced 20% when FPP was treated with both PME and EPG, although the loss of apoptotic activity was considerably less than the effect of mild base treatment (compare Figures 5C and 3F). These results suggest that base-sensitive linkages other than the HG carbox- ymethylesters are important for the apoptosis-inducing activity of FPP.
The effects of the above manipulations on FPP were further analyzed by PAGE, which showed that PME treatment shifted the bulk of the dark staining material from the top of the gel
(Figure 5D, lane 3) to the bottom half of the gel (lane 5). Mild base treatment led to the generation of fast moving FPP fragments (lane 4) suggesting that this treatment not only cleaved methyl esters, but also cleaved additional link- ages ( possibly esters) leading to extensive fragmentation of the FPP and loss of apoptotic activity. Interestingly, although PME treatment of the FPP generated fragments that moved faster into the gel, a large proportion of that material migrated more slowly than the base-treated material (compare lanes 4 and 5 in Figure 5D). Since the PME-treated FPP retained apop- totic activity (Figure 5C), it is likely that the moderately sized material near the center of the gel contains fragmented FPP that is responsible for apoptotic activity.
To determine the effect of EPG on the structure of the PME- treated FPP, intact, PME-treated, and base-treated FPP were treated with EPG and separated by PAGE (Figure 5D, lanes 6 – 8). As expected, the OGAs present in intact FPP
(Fig. 5D, lane 3) were lost upon treatment with EPG
(Figure 5D, lane 6). Likewise, the treatment of deesterified FPP with EPG resulted in the loss of OGAs (compare lanes 4 and 7, Figure 5D) and the movement of the polymeric frag- ments further into the gel. Finally, the removal of the HG methyl esters by PME treatment produced a broad band of slow migrating material (Figure 5D, lane 5). The treatment of this material with EPG led to the loss of OGAs, and the appearance of a broad band of stained material suggesting that a significant amount of the pectin remained cross-linked as a diverse size range of oligosaccharides and polysaccharides
(Figure 5D, lane 8). An important observation was that less pectic material was cleaved by EPG following PME treatment of FPP (lane 8, Figure 5D) compared with base treatment
(Figure 5D, lane 7), suggesting that base treatment causes the loss of linkages in addition to methyl esters. The presence of an ester-like cross-linking in the HG backbone is further supported by the observation that EPG treatment led to the loss of only OGA bands (Figure 5A, lane 2), indicating that EPG does not possess the ability to degrade the larger pectin components in FPP, while EPG treatment of base-treatedFPP leads to the loss of the vast majority of the FPP
(Figure 5A, lane 4).
Generation of apoptotic activity by heat treatmentof citrus pectin
As previously described, the most active apoptotic commercial pectin, FPP, is generated by heat treatment of citrus pectin at 100 – 132 8C for 20 min to 5.5 h. In an attempt to recreate the apoptotic response of FPP, we subjected CP (Sigma P-9135, 8.1% methylester, 79.5% galacturonic acid) to heat treatment by autoclaving at 123.2 8C and 17.2 – 21.7 psi for 30 and 60 min (HTCP 30 and HTCP 60, respectively). Figure 6A, like Figure 1, shows that, as expected, unmodified CP induces very little apoptosis. Heat modification of the CP significantly increased its apoptotic response, making HTCP as apoptotically active as FPP. The application of a longer heat cycle (compare HTCP 60 with HTCP 30) only slightly increased the apoptotic response of the treated CP.
Fig. 6. Induction of apoptosis by HTCP. (A) LNCaP cells were treated for 48 h with 3.0 mg/mL CP, with CP that was heat treated for 30 (HTCP30) or 60
(HTCP60) min at 123.2 8C and 17.2–21.7 psi or with 0.01 mM thapsigargin
(pos). Neg indicates negative control (cells treated with media only). Apoptosis was measured by the M30 Apoptosense assay using equal amounts of protein (15 mg). Data are the average of duplicate apoptosis assays of duplicate cell extracts + SEM. Comparable results were obtained in two independent experiments. (B) FPP, CP, and HTCP separated by PAGE (see the
Materials and methods section). Lane 1, 0.1 mg OGA of DP 14 (see arrow) and 0.1 mg mixture of OGAs of DP approximately 7–23; lanes 2–4, 6 mg of CP,
HTCP and FPP, respectively.The effect of the heat modification on the structure of CP was analyzed by PAGE. As in previous PAGE analyses, because of its large polymeric structure, the bulk of the unmodified CP barely entered the gel (Figure 6B, lane 2). Heat treatment of citrus pectin facilitated its movement further into the gel as seen by its separation into a smear of dark staining polymeric pectin near the top of the gel and OGAs lower in the gel (Figure 6B, lane 3). The HTCP appears very similar to FPP (compare Figure 6B, lanes 3 and 4). The ability of both FPP and HTCP to induce significant levels of apoptosis supports our hypothesis that the apoptotic response obtained with FPP is due to a particular pectin struc- ture. Further structure–function studies will be necessary to understand the structure of the apoptotic pectin.
Effect of apotosis-inducing pectins on human umbilicalvein endothelial cells
Vascular endothelial cells are arranged in a monolayer at the luminal face of all blood vessels and are, therefore, in direct contact with the circulating blood and any therapeutic agents it may contain. It is, therefore, important to determine whether potential pectin anticancer therapeutics have lethal effects on normal cells. To determine whether the apoptosis- inducing pectins, FPP and HTCP, reduce the viability of normal cells, human umbilical vein endothelial cells
(HUVECs) were treated for 48 h with FPP and HTCP, and the cells were assayed for apoptosis using a Caspase-3 colori- metric assay. HUVECs, unlike prostate cancer cells, do not express the cytokeratin-18 neoepitope and thus, the M30- Apoptosense ELISA could not be used with these cells. Cells treated with etoposide, a topoisomerase II inhibitor known to induce apoptosis in HUVECs, were used as a posi- tive control. Figure 7 shows that, as expected, the positive control etoposide induced significant apoptosis. On the con- trary, the treatment of HUVECs with FPP or HTCP did not induce apoptosis. These results demonstrate that FPP and HTCP induce apoptosis in prostate cancer cells, but not in
noncarcinogenic cells.
Discussion
Cancer therapy is aimed at either the primary tumor or meta- static cells. Because of the differences in the response of primary and metastatic cancers, most therapies do not address both cancer types. Pectin, a natural plant polysacchar- ide present in all higher plant cell walls, and thus in all fruits and vegetables and in most plant derived foods, is a compound that appears to be able to inhibit cancer metastasis and primary tumor growth in multiple types of cancer in animals. Although pectins were initially recognized as compounds capable of inhibiting metastatic lesions (Heitman et al. 1992; Platt and Raz 1992; Pienta et al. 1995; Nangia-Makker et al. 2002), more recently, pectins have been shown to reduce primary tumor growth (Nangia-Makker et al. 2002). It has been suggested that the inhibitory effects of pectin on metastatic lesions in the lung are mediated through their binding to galec- tin-3 (a galactoside-binding lectin). Galectins are specific carbohydrate-binding proteins present on the surface of cancer cells. Galectins facilitate cell – cell interactions by binding to galactose-containing molecules on neighboring cancer cells. In human colon, stomach and thyroid cancers, the amount of galectin increased with the progression of cancer. Blocking galectin-3 expression in highly malignant human breast, papillary, and tongue carcinoma cells led to reversion of the transformed phenotype and suppression of tumor growth in nude mice (Honjo et al. 2000, 2001). It has been proposed that the pH-modified CP blocks binding of galectins, and thus, inhibits tumor cell – cell interactions. The potential impact of blocking galectin action includes inhibition of the aggregation of cancer cells to each other and to normal cells, thus inhibiting metastatic lesions. However, LNCaP cells do not express galectin-3 (Ellerhorst et al. 1999, 2002; Califice et al. 2004; our unpublished observations), suggesting that the apoptotic effects of pectins reported here are due to mechan- isms not mediated through galectin-3.
The major goals of the present research were two-fold: (i) to identify pectins that are capable of inducing death of prostate cancer cells and (ii) to determine the structure of the pectin that is responsible for such biological effects. Initial exper- iments demonstrated that among the pectins tested, only FPP induced apoptosis. The pH-modified CP, PeS, is similar to the modified CP that has been shown to inhibit metastatic lesions and to induce apoptosis in multiple myeloma cells
(Chauhan et al. 2005). Significantly, PeS did not induce appreciable apoptosis in prostate cancer cells, agreeing with published data showing no cytotoxic effects of pH-modified pectin on prostate cancer cells and xenografts (Pienta et al. 1995). Thus, the main thrust of the present research was to characterize the structure – function relationships of the apopto- tic pectin FPP. Most of the published reports on the anticancer effects of pectin utilized pectins that were modified by altera- tions in pH in an effort to fragment pectin structure to facilitate biological effects in the systems under study. This procedure, in addition to fragmenting the pectin, may affect the structure of the pectin and thus its function. FPP was not produced by pH treatment, but rather was produced by heating CP. We therefore utilized several methods to correlate the biological
Fig. 7. Effect of pectins on normal HUVECs. Apoptosis induced in HUVECs was measured by a Caspase-3 colorimetric assay. HUVECs were treated for 48 h with 3.0 mg/mL FPP, 3.0 mg/mL heat-treated citrus pectin (HTCP30), 0.1 mM etoposide (pos) or with media alone (Neg). Caspase-3 activity is expressed as microgram p-nitroaniline released per hour per microgram protein. Equal amounts of cell extracts (5 mg protein) were used. Data are the
average of duplicate caspase assays of duplicate cell extracts + SEM.function of FPP with its structure and compared FPP structure with that of PeS and CP, which were not apoptotic.
As a first step, the size and glycosyl residue composition and linkage of the different pectins were compared. Our results did not show any significant differences between the glycosyl residue composition or linkages of FPP compared with PeS and CP, indicating that differences in apoptotic activity among the three pectin preparations were not due to differ- ences in the major types of pectin present. Also, there was no correlation in the size of the pectins and their apoptotic activity. As pectins consist of HG and RG, we hypothesized that one or more of these polysaccharides in FPP was respon- sible for its apoptotic effects. However, experiments testing the apoptotic effects of HG, RG-I, and RG-II, indicated that these individual structural components were not by themselves responsible for the apoptosis-inducing activity of FPP. We therefore conclude that the apoptosis-inducing activity of FPP is related to some structural constituent not detected by the above analyses.
To further understand the structure –function relationship of apoptotic pectin, FPP was specifically fragmented using endo- polygalacturonase (EPG), which cleaves HG at contiguous nonesterified GalA residues. The cleavage of FPP with EPG did not have a major effect on its apoptotic activity. Thus, two methods were used to remove ester linkages from FPP prior to EPG treatment and thereby, make FPP more suscep- tible to EPG cleavage: chemical deesterification by mild base treatment and specific enzymatic hydrolysis of methyl esters by treatment with pectinmethylesterase (PME). Chemical deesterification of FPP resulted in significant loss of apoptosis suggesting that a base-sensitive structure, such as an ester linkage, is necessary for the apoptotic activity of FPP. Since specific cleavage of methyl esters by PME did not destroy FPP’s apoptosis inducing activity, linkages other than methyl esters are required for apoptotic activity. Furthermore, PAGE analysis of intact and treated FPP showed that a polymeric/oligomeric FPP structure containing a base-sensitive linkage, and/or the specific base-sensitive linkage itself, is required for the apoptotic activity of FPP. Taken together the results suggest that an ester-based (or related) cross-link in pectin is important for the apoptosis- inducing activity of FPP.
The incubation of FPP with a nonspecific protease, with
endo-a1,5-arabinase or with RNAse prior to cell treatment
(data not shown), did not significantly affect FPP’s apopto- sis-inducing ability, suggesting that the apoptotic response is not due to the presence of proteins, a1,5-arabinan, or RNA within the pectin preparation. Significantly, we have been suc- cessful in generating the apoptosis-inducing capability in CP by heat treatment, a critical step in the production of FPP from the mother pectin. This supports our conclusion that a specific pectin structure and/or pectin-containing linkage is responsible for inducing apoptosis. The question of whether the heat treatment of CP causes a covalent or noncovalent modification of CP structure that leads to the apoptotic activity remains to be determined.
In conclusion, we provide the first evidence that specific structural characteristics of pectin are responsible for inducing apoptosis in cancer cells. Our results demonstrate that different extraction protocols may alter the structure of pectin and can lead to differences in pectin’s apoptosis-inducing activity.Further experiments to identify the specific apoptotic structure in pectin will enable us to generate the smallest fragment that is capable of inducing apoptosis. A detailed understanding of structure– function relationships of such a fragment may lead to effective anti-cancer therapy. This is of particular thera- peutic significance, as we have demonstrated that manipulating the structure of pectin results in a compound that is capable of inducing apoptosis in both androgen-responsive and androgen- independent prostate cancer cells.
Materials and methods
Materials
Two prostate cancer cell lines, LNCaP and LNCaP C4-2, were utilized in these experiments. LNCaP obtained from American Type Culture Collection (Rockville, MD) are androgen- responsive prostate cancer cells, whereas LNCaP C4-2 cells were derived from LNCaP cells as androgen-refractory pros- tate cancer cells ( purchased from Grocer Inc., Oklahoma City, OK). HUVECs were from American Type Culture Collection. EBM-2 media and EGM-2 supplements were from Cambrex Bio Science (Walkersville, MD). RPMI-1640 media supplemented with 25 mM HEPES and L-glutamine was purchased from Hyclone (Logan, UT). Fetal bovine serum (FBS), penicillin/streptomycin, citrus pectin (P-9135), sodium hydroxide, alcian blue, and caspase-3 colorimetric assay kit were from Sigma-Aldrich (St Louis, MO). Fungizone was obtained from Invitrogen (Carlsbad, CA). Bio-Rad Protein Assay dye reagent concentrate was purchased from Bio-Rad (Hercules, CA). M-30 Apoptosense ELISA was from Peviva AB (Sweden). Sodium carbonate and sodium acetate were purchased from J.T. Baker (Phillipsburg, NJ)and acetic acid from EM Science (Gibbstown, NJ). PeS was purchased from EcoNugenics (Santa Rosa, CA), FPP from Thorne Research (Dover, ID), and CP (P-9135) from Sigma- Aldrich. Purified PME (from Aspergillus niger 2.2 mg/mL,
1.0 U/mg, 1 U ¼ 1 mmol/min) and EPG (from A. niger, 0.5 mg/mL, 1.2 U/mL, 1 U ¼ 1 mmol/min) were obtained
from Carl Bergmann (Complex Carbohydrate Research Center, University of Georgia, Athens, GA). All other chemi-
cals, unless otherwise stated, were from Fisher Scientific.
Purified pectins
Purifed HG, RG-I, and RG-II were a gift of Stefan Eberhard
(Complex Carbohydrate Research Center, University of Georgia, Athens, GA). The HG was a mixture of oligogalac- turonides of degrees of polymerization of approximately 7 –23 that were produced by partial endopolygalacturonase treat- ment of commercial polygalacturonic acid as described by Spiro et al. (1993). RG-I was isolated from sycamore (Acer pseudoplatanus) suspension culture cells as described in
`
Marfa et al. (1991). RG-II was isolated from red wine as
described by Pellerin et al. (1996).
Endopolygalacturonase treatment of pectins
Ammonium formate, pH 4.5, was added to 500 mL of 20 mg/
mL deesterified FPP (Des FPP) and FPP to give a final ammonium formate concentration of 10 mM and 2 mL of 1.2 U/mL, 0.5 mg/mL A. niger endopolygalacturonase
(EPG) was added. As a negative control, 500 mL of 20 mg/mLFPP in 10 mM ammonium formate was also prepared. The three FPP samples were incubated overnight at room tempera- ture (RT), frozen at 280 8C, and lyophilized to dryness. The dry samples were analyzed by high-percentage acrylamide PAGE and tested for apoptotic activity in an M-30
Apoptosense ELISA.
Pectinmethylesterase (PME) treament of pectins
One microliter of 1 U/mg, 2.2 mg/mL A. niger PME was added to 1 mL of 20 mg/mL FPP in 10 mM ammonium formate. One milliliter of 20 mg/mL FPP in 10 mM ammonium formate served as a negative control. PME activity was confirmed by the detection of methanol released using the method of Klavons and Bennett (1986). A combined PME þ
EPG treatment involved mixing 2 mL of 1.2 U/mL, 0.5 mg/
mL A. niger EPG and 1 mL of 1 U/mg, 2.2 mg/mL A. niger
PME in 10 mM ammonium formate. The FPP samples were incubated overnight at RT, frozen at 280 8C, and lyophilized to dryness. The dry samples were analyzed by high-percentage acrylamide PAGE and tested for apoptotic activity in an M-30
Apoptosense ELISA.
Pectin deesterification
Fifty milligrams pectin was dissolved in 50 mL of de-ionized water and placed on ice. The starting pH of the solution was measured and the pH was adjusted to 12 by adding 1.0 M cold NaOH. A pH of 12 was maintained for 4 h by the addition of 0.1 M NaOH, and the solution was kept on ice to retain a temperature of 2 8C. After 4 h, the pH was adjusted to 5.2 by the addition of glacial acetic acid. The deesterified pectin solution was frozen at 280 8C, and lyophilized. The dry material was dissolved again in water, frozen, and re-
lyophilized.
Fractionation of citrus pectin by heat treatment
A 0.1% aqueous pectin dispersion was prepared by dissolving 200 mg of unmodified CP in 200 mL of de-ionized, filtered water. The solution was autoclaved at 123.2 8C at 17.2 –21.7 psi for 30 min. At the end of the heat treatment, the sol- ution was allowed to cool to RT and stored overnight at 4 8C, allowing formation of a gel-like precipitate. The next day, the aqueous phase was collected, frozen at 280 8C and lyophi- lized. An alternative heat treatment was also carried out by autoclaving the pectin dispersion at 123.2 8C at 17.2 –21.7 psi for 60 min.
Cell culture, pectin treatments, and quantificationof apoptosis
LNCaP and LNCaP C4-2 cells were grown in RPMI-1640 medium supplemented with 25 mM HEPES, 2.0 mM L-gluta- mine, 10% heat-inactivated FBS, 50 U/mL penicillin, 0.05 mg/mL streptomycin, and 0.25 mg/mL fungizone in the presence of 5% CO2 at 37 8C. Cells were maintained in logar- ithmic growth phase by routine passage every 10– 12 days
(LNCaP) or 6 – 7 days (LNCaP C4-2). Cells were plated at a density of 1.6 10 cells per well in 6-well culture plates
and allowed to adhere for 24 h. The medium was removed and replaced with media containing filter-sterilized pectin
(0.20 mm nylon filters; Fisher Scientific). Treated cells were incubated in media containing the following compounds as
indicated: FPP, PeS, CP, Des FPP, PME-treated fractionated 816pectin powder (FPPþPME), EPG-treated fractionated pectin powder (FPPþEPG), PME-treated Des FPP, EPG-treated
Des FPP, combined enzyme treatments, RG-I, RG-II, purified HG, and positive control Thapsigargin (Sigma). The negative controls were untreated cells cultured in media alone. Cells were harvested after 48 h and lysed in ice-cold Lysis Buffer
(10 mM Tris – HCL, pH 7.4, 10 mM MgCl2, 150 mM NaCl, 0.5% Nonidet P-40), incubated on ice for 5 min, and soluble protein was collected by centrifugation at 4 8C. The protein concentration was determined in triplicate using a Bradford/
Bio-Rad Protein Assay (Bio-Rad Protein Assay Dye Reagent Concentrate). Apoptotic activity was assayed using the M-30 Apoptosense ELISA (see the Apoptosense assay section).
HUVECs were grown in EBM-2 Complete Media in the pre- sence of 5% CO2 at 37 8C. The media was renewed every other day, and cells were subcultured when 70– 80% confluent, approximately every 5 days. Cells were plated at a density of 1.6 10 cells per well in 6-well culture plates and allowed
to adhere for 24 h. After 24 h, the cells were treated with medium containing filter-sterilized pectin (0.20 mm nylon filters; Fisher Scientific) and harvested after another 48 h. The pectin treatments applied were as follows: FPP, CP, PeS, HTCP, positive control (the DNA synthesis inhibitor Etoposide; Sigma) and the negative control (untreated cells cultured in media alone). Apoptotic activity in extracts from HUVECs was assayed using the Caspase 3 colorimetric Assay (see the Caspase 3 Colorimetric assay section).
Apoptosense assay
Cells grown in culture flasks and treated as described earlier were harvested and total protein extracted as described earlier. Protein was assayed for the presence of the apopto- sis-specific cytokeratin-18 neoepitope (generated by cleavage of cytokeratin-18 by caspases activated in response to treat- ment) using the M30-Apoptosense ELISA (Peviva AB, Sweden). In brief, protein extract was added to 96-well plates coated with mouse monoclonal anti-cytokeratin-18 M30 antibody. Horseradish peroxidase tracer solution was added to the wells in a dark room illuminated with a green safety light, and the plate was incubated with agitation for 4 h at RT. Color was developed by adding tetramethyl benzi- dine solution and incubating in darkness for 20 min. Optical density (OD) was determined at 450 nm using Spectra MAX 340 (Molecular Devices, Menlo Park, CA) or Finstruments Model 347 (Vienna, VA) microplate readers. The amount of cytokeratin-18 neoepitope was determined based on standard curves generated using standards provided by the
manufacturer.
Caspase 3 colorimetric assay
HUVEC cells were grown in culture flasks and treated as described above (see Cell culture, pectin treatments and quantification of apoptosis section). Cells were harvested after 48 h by trypsinization; 1 mL 0.25% trypsin – EDTA was applied to each plate for 3 min at 37 8C to loosen cells fol- lowed by neutralization with media. Cells were collected by centrifugation at 4 8C and PBS ( phosphate-buffered saline)- washed cell pellets were resuspended in Lysis Buffer. The soluble protein was collected by centrifugation at 4 8C. The assay was carried out in a 96-well plate with each well contain- ing, 5 mL cell lysate, 85 mL of 1X assay buffer (20 mMHEPES, pH 7.4, 2 mM EDTA, 0.1% CHAPS, 5 mM dithio- threitol), and 10 mL of the caspase-3 colorimetric substrate, 2 mM Ac-DEVD-p-nitroanilide. Caspase-3 positive controls and caspase 3 inhibitor controls were prepared according to the manufacturer’s instructions (Sigma-Aldrich). The 96-well plate was incubated at 37 8C for 90 min to allow cleavage of the chromophore p-nitroaniline from Ac-DEVD-pNA by caspase-3 present in the sample and the OD at 405 nm was detected using a Bio-Rad 680 microplane reader. Caspase-3 activity was proportional to the amount of yellow color pro- duced upon cleavage. Protein concentration was determined using a Bradford/Bio-Rad Protein Assay (Bio-Rad Protein Assay Dye Reagent Concentrate). Caspase-3 activity was expressed as micromoles of p-nitroaniline released per hour
per microgram protein.
Preparation of cell lysates and western blotting
Cells were harvested by trypsinization and the washed cell pellets were resuspended in lysis buffer (1X PBS, 1% Triton X-100, 0.5% sodium deoxycholate, 0.1% sodium dodecyl sulfate (SDS), 1 mM EDTA, 0.5 mg/mL leupeptin, 1 mg/mL pepstatin, 1 mg/mL phenylmethyl sulfonyl fluoride, and 1 mg/mL aprotinin) and incubated on ice for 30 min. The lysed cells were centrifuged at 10 000 g for 10 min at 4 8C and the supernatant was collected. Protein concentration was determined as described above.
Proteins (50 mg, unless stated otherwise) were separated on NuPAGE 10% Bis-Tris gels (Novex pre-cast mini gels, Invitrogen, Carlsbad, CA) at 100 V for 1 h in the presence of 1X 2-(N-morpholino) ethanesulfonic acid (MES)-SDS running buffer (Invitrogen, Carlsbad, CA). Separated proteins were transferred to (Polyvinylidenedifluoride; PVDF) mem- branes (Bio-Rad Laboratories, Hercules, CA) at 42 V for 2.5 h using a Novex XCell II blotting apparatus in MES trans- fer buffer in the presence of NuPAGE antioxidant. Transfer of the proteins to the PVDF membrane was confirmed by staining with Ponceau S (Sigma). The blots were blocked in 5% nonfat dry milk in tris-buffered saline (TBS), washed twice for 10 min each with TBS containing 0.01% Tween-20 and incu- bated for 2 h at RT with primary antibody diluted in TBS con- taining 0.5% milk. The following antibodies were used in the immunoblots: rabbit polyclonal anti-caspase-3 antibody (BD Pharmingen, San Diego, CA), rabbit polyclonal anti-PARP antibody (Cell Signaling Technology, Beverly, MA), and anti-actin antibody (Sigma). Immunoreactive bands were visu- alized using the ECL detection system (Amersham, Pharmacia Biotech, Arlington Heights, IL) and signals were developed after exposure to X-ray film (X-Omat films, Eastman Kodak
Company, Rochester, NY).
Size exclusion chromatography
Five milligrams of FPP, PeS, and CP were separated at 0.5 mL/
min in 50 mM sodium acetate and 5 mM EDTA over a Superose 12 HR10 (10 – 300 mm) SEC column using a Dionex DX500 system. The eluted pectin was detected using an uronic acid colorimetric assay (Blumenkrantz and Asboe-
Hansen 1973).
Glycosyl residue composition analysis
Pectin samples were analyzed for glycosyl residue composition at the Complex Carbohydrate Service Center, the University of Georgia, Athens by combined gas chromatography– mass spectrometry (GC – MS) of the per-O-trimethylsilyl (TMS)derivatives of the monosaccharide methyl glycosides produced from the sample by acid methanolysis (York et al. 1985). Methyl glycosides were prepared by methanolysis in 1 M HCl in methanol at 80 8C for 18– 22 h, followed by re-N-acetylation with pyridine and acetic anhydride in methanol for the detection of amino sugars. The samples were per-O-trimethylsilylated by treatment with Tri-Sil (Pierce) at 80 8C for 0.5 h. The GC – MS analysis of the TMS methyl glycosides was performed on an HP 5890 GC interfaced to a 5070 MSD using a Supelco DB1
fused silica capillary column.
Glycosyl residue linkage analysis
Pectin samples were analyzed for glycosyl residue linkage at the Complex Carbohydrate Service Center at the University of Georgia, Athens basically as described by York et al.
(1985). Glycosyl residue linkage analyses were conducted using both single and double methylation procedures. For the
“single methylation” linkage analysis, the samples were per- methylated, depolymerized, reduced, acetylated, and the resultant partially methylated alditol acetate residues were analyzed by GC – MS. Specifically, the samples were permethylated by the Hakomori method (Hakomori 1964), by treatment with dimethylsulfinyl anion and methyl iodide
(MeI) in dimethyl sulfroxide, the permethylated material reduced by super-deuteride, hydrolyzed in 2 M trifluoroacetic acid (TFA) for 2 h at 121 8C, reduced with NaBD4, and acetyl- ated using acetic anhydride – TFA. The resulting partially methylated alditol acetates were separated on a 30 m Supelco 2330 bonded phase fused silica capillary column and analyzed on a Hewlett Packard 5890 GC interfaced to a 5970 mass detector in selective electron impact ionization mode. For the “double methylation” linkage analysis, the methods were as described above for the “single methylation” method except that following the first methylation the per- methylated material was reduced by super-deuteride and the reduced sample was re-methylated using the NaOH – MeI method of Ciucanu and Kerek (1984). The remethylated samples were hydrolyzed using 2 M TFA and processed as
described above for the “single methylation” method.
PAGE of pectins
Pectin samples were separated by PAGE and analyzed by alcian blue staining using a modified procedure of Corzo et al. (1991) and Reuhs et al. (1993, 1998) as described by Djelineo (2001). Pectin samples were mixed in a 5:1 ratio with 6X sample buffer (0.63 M Tris-Cl, pH 6.8, 0.05% phenol red, and 50% glycerol), loaded onto a resolving gel
[0.38 M Tris pH 8.8, 30% (wt/vol) acrylamide (37.5:1 acryl- amide: bis-acrylamide, wt/wt)] overlaid with a stacking gel
(5% acrylamide, 0.13 M Tris, pH 6.8) and separated at 17.5 mA for 60 min or until the phenol dye was within 1 cm of the end of the gel. The gel was stained 20 min with 0.2% alcian blue in 40% ethanol, washed thrice for 20 s and then 20 min in water. The gel was incubated with shaking in 0.2% silver nitrate containing 0.075% formaldehyde, rinsed thrice for 20 s with water, and then incubated in 4% sodium carbonate containing 0.05% formaldehyde until bands
appeared. The carbonate solution was immediately removed and the gel was stored overnight in 5% acetic acid and then stored in water or dried.
Acknowledgments
We thank Stefan Eberhard (CCRC, University of Georgia) for the gift of purifed HG, RG-I, and RG-II, Carl Bergmann for the gift of purified A. niger endopolygalacturonase and pectinmethylesterase, Lance Wells for the HUVECs, col- leagues at the CCRC for helpful discussions, and Alan Darvill for critical reading of the manuscript. This work was supported in part by the Georgia Cancer Coalition-Georgia Department of Human Resources and the University of Georgia-Medical College of Georgia Joint Intramural Grants Program (M.V. and D.M.). Carbohydrate analyses performed by the CCRC Analytical Services supported by the DOE
center grant DE-FG05-93-ER20097.
Conflict of interest
None declared.
Abbreviations
CP, citrus pectin; Des FPP, deesterified fractionated pectin powder; ELISA, enzyme-linked immunosorbent assay; EPG, endopolygalacturonase; EDTA, ethylenediaminetetraacetic acid;FBS, fetal bovine serum; FPP, fractionated pectin powder;GalA, a-D-galactopyranosyluronic acid; GC-MS, gas chromato- graphy-mass spectrometry; HG, homogalacturonan; HTCP, heat treated citrus pectin; HUVEC, human umbilical vein endothelial cell; LNCaP, lymph node-derived human prostate cancer; MES, 2-(N-morpholino)ethanesulfonic acid; OGAs, oligogalacturo- nides; PAGE, polyacrylamide gel eletrophoresis; PARP, poly
(ADP-ribose) polymerase; PeS, pectasol; PME, pectinmethyl- esterase; PVDF, polyvinylidenedifluoride; RG-I, rhamnogalac- turonan I; RG-II, rhamnogalacturonan II; SDS, sodium dodecyl sulfate; SEC, size exclusion chromatography; TBS, tris-
buffered saline; TFA, trifluoroacetic acid; TMS, trimethylsilyl.
References
Albersheim P, Darvill AG, O’Neill MA, Schols HA, Voragen AGJ. 1996. An
hypothesis: the same six polysaccharides are components of the primary cell walls of all higher plants. In: Visser J, Voragen AGJ, editors. Pectins and Pectinases, 14. Amsterdam (NL): Elsevier Sciences B.V.; pp. 47–53.
Avivi-Green C, Madar Z, Schwartz B. 2000. Pectin-enriched diet affects dis-
tribution and expression of apoptosis-cascade proteins in colonic crypts of dimethylhydrazine-treated rats. Int J Mol Med. 6:689–698.
Avivi-Green C, Polak-Charcon S, Madar Z, Schwartz B. 2000a. Apoptosis
cascade proteins are regulated in vivo by high intracolonic butyrate concen- tration: correlation with colon cancer inhibition. Oncol Res. 12:83–95.
Avivi-Green C, Polak-Charcon S, Madar Z, Schwartz B. 2000b. Dietary regu-
lation and localization of apoptosis cascade proteins in the colonic crypt. J Cell Biochem. 77:18–29.
Blumenkrantz N, Asboe-Hansen G. 1973. New method for quantitative deter-
mination of uronic acids. Anal Biochem. 54:484–489.
Brown JA, Fry SC. 1993. Novel O-D-galacturonoyl esters in the pectic polysac-
charides of suspension-cultured plant cells. Plant Physiol. 103:993–999. Bruckheimer E, Gjertsen B, McDonnell T. 1999. Implications of cell death
regulation in the pathogenesis and treatment of prostate cancer. J Semin
Oncol. 26(4):382–398.
ˆ
Califice S, Castronovo V, Bracke M, van den Brule F. 2004. Dual activities of
galectin-3 in human prostate cancer: tumor suppression of nuclear galectin-3
vs. tumor production of cytoplasmic galectin-3. Oncogene. 23:7527–7536.
Chang WC, Chapkin RS, Lupton JR. 1997. Predictive value of proliferation,
differentiation and apoptosis as intermediate markers for colon tumorigen- esis. Carcinogenesis. 18:721–730.
Chang W-CL, Chapkin RS, Lupton JR. 1997. Fish oil blocks azoxymethane-
induced rat colon tumorigenesis by increasing cell differentiation and apoptosis rather than decreasing cell proliferation. J Nutr. 128:491–497.
Chauhan D, Li G, Podar K, Hideshima T, Neri P, He D, Mitsiades N,
Richardson P, Chang Y, Schindler J et al. 2005. A novel carbohydrate- based therapeutic GCS-100 overcomes bortezomib resistance and enhances dexamethasone-induced apoptosis in multiple myeloma cells. Cancer Res. 65:8350–8358.
Chen EMW, Mort AJ. 1996. Nature of sites hydrolyzable by endopolygalactur-
onase in partially-esterified homogalacturonans. Carbohydr Polym. 29:129–136.
Ciucanu I, Kerek F. 1984. A simple and rapid method for the permethylation of
carbohydrates. Carbohydr Res. 131:209–217.
Colombel M, Buttyan R. 1995. Hormonal control of apoptosis: the rat prostate
gland as a mode system. Methods Cell Biol. 46:369–385.
´
´
´
Corzo J, Perez-Galdona R, Leon-Barrios M, Gutierrez-Navarro AM. 1991.
Alcian Blue fixation allows silver staining of the isolated polysaccharide component of bacterial lipopolysaccharides in polyacrylamide gels. Electrophoresis. 12:439–441.
Djelineo I. 2001. Structural studies of pectin (Ph.D. Thesis). Athens; The
University of Georgia.
Doong RL, Liljebjelke K, Fralish G, Kumar A, Mohnen D. 1995. Cell free syn-
thesis of pectin: identification and partial characterization of polygalactur- onate 4-a-galacturonosyltransferase and its products from membrane preparations of tobacco (Nicotiana tabacum L. cv samsun) cell suspension cultures. Plant Physiol. 109:141–152.
Eliaz I. 2001. The potential role of modified citrus pectin in the prevention of
cancer metastasis. Clin. Pract. Altern. Med. 2:1–7.
Ellerhorst JA, Nguyen T, Cooper DN, Estrov Y, Lotan D, Lotan R. 1999.
Induction of differentiation and apoptosis in prostate cancer cell line LNCaP by sodium butyrate and galectin-1. Int J Oncol. 14:225–232.
Ellerhorst JA, Stephens LC, Nguyen T, Xu X-C. 2002. Effects of galectin-3
expression on growth and tumorigenicity of the prostate cancer cell line LNCaP. Prostate 50:64–70.
Fry SC. 1982. Phenolic components of the primary cell wall. Feruloylated di-
saccharides of D-galactose and L-arabinose from spinach polysaccharide. Biochem J. 203:493–504.
Hakomori SA. 1964. A rapid permethylation of glycolipid and polysaccharide
catalyzed by methylsulfinyl carbanion in dimethyl sulfoxide. J Biochem. 55:205–208.
Heitman DW, Hardman WE, Cameron IL. 1992. Dietary supplementation with
pectin and guar gum on 1,2- dimethylhydrazine-induced colon carcinogen- esis in rats. Carcinogenesis. 13:815–818.
Honjo Y, Inohara H, Akahani S, Yoshii T, Takenaka Y, Yoshida J-I, Hattori K,
Tomiyama Y, Raz A, Kubo T. 2000. Expression of cytoplasmic galectin-3 as a prognostic marker in tongue carcinoma. J Clin Cancer Res. 6:4635–4640.
Honjo Y, Nangia-Makker P, Inohara H, Raz A. 2001. Down-regulation of
galectin-3 suppresses tumorigenicity of human breast crcinoma cells. J Clin Cancer Res. 7:661–668.
Hou W-C, Chang W-H. 1996. Pectinesterase-catalyzed firming effects during
precooking of vegetables. J Food Biochem. 20:397–416.
Iiyama K, Lam TBT, Stone BA. 1994. Covalent cross-links in the cell wall.
Plant Physiol. 104:315–320.
Inohara H, Raz A. 1994. Effects of natural complex carbohydrates (citrus
pectin) on murine melanoma cell properties related to galectin-3 functions. Glycoconjugate J. 11:527–532.
Ishii T. 1997. Structure and functions of feruloylated polysaccharides. Plant
Sci. 127:111–127.
Kim J-B, Carpita NC. 1992. Changes in esterification of the uronic acid groups
of cell wall polysaccharides during elongation of maize coleoptiles. Plant Physiol. 98:646–653.
Klavons JA, Bennett RD. 1986. Determination of methanol using alcohol
oxidase and its application to methyl ester content of pectins. J Agric Food Chem. 34:597–599.Kobayashi M, Matoh T, Azuma J-I. 1996. Two chains of rhamnogalacturonan
II are cross-linked by borate-diol ester bonds in higher plant cell walls. Plant Physiol. 110:1017–1020.
Kossoy G, Ben-Hur H, Zusman I, Madar Z. 2001. Effects of a 15% orange-
pulp diet on tumorigenesis and immune response in rats with colon tumors. Oncol Rep. 8:1387–1391.
Kozlowski J, Ellis W, Grayhack J. 1991. Advanced prostatic carcinoma. Early
versus late endocrine therapy. J Urol Clin North Am. 18(1):15–24.Kreis W. 1995. Current chemotherapy and future directions in research for the
treatment of advanced hormone-refractory prostate cancer. Cancer Invest. 13:296–312.
`
Marfa V, Gollin DJ, Eberhard S, Mohnen D, Darvill A, Albersheim P. 1991.
Oligogalacturonides are able to induce flowers to form on tobacco explants. Plant J. 1:217–225.
Mohnen D. 1999. Biosynthesis of pectins and galactomannans. In: Pinto BM
editor. Comprehensive Natural Products Chemistry. Carbohydrates and Their Derivatives Including Tannins, Cellulose, and Related Lignins, 3. Oxford: Elsevier; pp. 497–527.
Mohnen D. 2002. Biosynthesis of pectins. In: Seymour GB, Knox JP, editors.
Pectins and Their Manipulation. Oxford, (UK): Blackwell Publishing and CRC Press; pp. 52–98.
Morris ER, Powell DA, Gidley MJ, Rees DA. 1982. Conformations and inter-
actions of pectins I. Polymorphism between gel and solid states of calcium polygalacturonate. J Mol Biol. 155:507–516.
Nakamura A, Furuta H, Maeda H, Takao T, Nagamatsu Y. 2002. Structural
studies by stepwise enzymatic degradation of the main backbone of soybean soluble polysaccharides consisting of galacturonan and rhamnoga- lacturonan. Biosci Biotechnol Biochem. 66:1301–1313.
Nangia-Makker P, Hogan V, Honjo Y, Baccarini S, Tait L, Bresalier R, Raz A.
2002. Inhibition of human cancer cell growth and metastasis in nude mice by oral intake of modified citrus pectin. J Natl Cancer Inst. 94:1854–1862.
O’Neill M, Albersheim P, Darvill A. 1990. The pectic polysaccharides of
primary cell walls. In: Dey PM editor. Methods in Plant Biochemistry. vol 2. London, (UK): Academic Press pp. 415–441.
O’Neill MA, Ishii T, Albersheim P, Darvill AG. 2004. Rhamnogalacturonan II:
structure and function of a borate cross-linked cell wall pectic polysacchar- ide. Annu Rev Plant Biol. 55:109–139.
O’Neill MA, Warrenfeltz D, Kates K, Pellerin P, Doco T, Darvill AG,
Albersheim P. 1996. Rhamnogalacturonan-II, a pectic polysaccharide in the walls of growing plant cell, forms a dimer that is covalently cross- linked by a borate ester—in vitro conditions for the formation and hydroly- sis of the dimer. J Biol Chem. 271:22923–22930.
Olano-Martin E, Rimbach GH, Gibson GR, Rastall RA. 2003. Pectin and
pectic-oligosaccharides induce apoptosis in in vitro human colonic adeno- carcinoma cells. Anticancer Res. 23:341–346.Pellerin P, Doco T, Vidal S, Williams P, O’Neill MA, Brillouet J-M. 1996.
Structural characterization of red wine rhamnogalacturonan II. Carbohydr Res. 290:183–197.
Perlman H, Zhang X, Chen M-W, Walsh K, Buttyan R. 1999. An elevated
bax/bcl-2 ratio corresponds with the onset of prostate epithelial cell apop-
tosis. Cell Death Differ. 6:48–54.
Pienta KJ, Naik H, Akhtar A, Yamazaki K, Replogle TS, Lehr J, Donat TL,
Tait L, Hogan V, Raz A. 1995. Inhibition of spontaneous metastasis in a rat prostate cancer model by oral administration of modified citrus pectin. J Natl Cancer Inst. 87:348–353.
Platt D, Raz A. 1992. Modulation of the lung colonization of B16-F1 mela-
noma cells by citrus pectin. J Natl Cancer Inst. 84:438–442.
Reuhs BL, Carlson RW, Kim JS. 1993. Rhizobium fredii and Rhizobium meli-
loti produce 3-deoxy-D-manno-2-octulosonic acid-containing polysacchar- ides that are structurally analogous to group II K antigens (Capsular polysaccharides) found in Escherichia coli. J Bacteriol. 175:3570–3580.
Reuhs BL, Geller DP, Kim JS, Fox JE, Kolli VSK, Pueppke SG. 1998.
Sinorhizobium fredii and Sinorhizobium meliloti produce structurally con- served lipopolysaccharides and strain-specific K antigens. Appl Environ Microbiol. 64:4930–4938.
Ridley BL, O’Neill MA, Mohnen D. 2001. Pectins: structure, biosynthesis, and
oligogalacturonide-related signaling. Phytochemistry. 57:929–967.Santen R. 1992. Clinical review 37: endocrine treatment of prostate cancer.
J Clin Endocrinol Metab. 75(3):685–689.
Spiro MD, Kates KA, Koller AL, O’Neill MA, Albersheim P, Darvill AG.
1993. Purification and characterization of biologically active 1,4-linked
a-D-oligogalacturonides after partial digestion of polygalacturonic acid with endopolygalacturonase. Carbohydr Res. 247:9–20.
Thakur BR, Singh RK, Handa AK. 1997. Chemistry and uses of pectin—a
review. Crit Rev Food Sci Nutr. 37:47–73.
Voragen AGJ, Schols HA, Pilnik W. 1986. Determination of the degree of
methylation and acetylation of pectins by h.p.l.c. Food Hydrocolloids. 1:65–70.
Yamada H. 1996. Contributions of pectins on health care. In: Visser J, Voragen
AGJ, editors. Pectins and Pectinases. Proceedings of an International Symposium, Wageningen, The Netherlands, 1995 Dec 3–7, vol. 14;Amsterdam (NL): Elsevier; pp. 173–190.
Yamada H, Kiyohara H, Matsumoto T. 2003. Recent studies on possible func-
tions of bioactive pectins and pectic polysaccharides from medicinal herbs on health care. In: Voragen F, Schols H, Visser R, editors. Advances in Pectin and Pectinase Research. Dordrecht, (NL): Kluwer Academic Publishers; pp. 481–490.
York WS, Darvill AG, McNeil M, Stevenson TT, Albersheim P. 1985.
Isolation and characterization of plant cell walls and cell wall components. Methods Enzymol. 118:3–40.
- previous:Galectin-3 Inhibition Is Assoc
next:Novel Citrus Extract Blocks De - back

